首页 > 资讯 > “阳过”之后免疫力低?Cell重磅:新冠肺炎破坏人体免疫系统

“阳过”之后免疫力低?Cell重磅:新冠肺炎破坏人体免疫系统

免疫系统宛如人体的“壁垒”,阻挡着所有病毒的侵袭和健康威胁的入侵。然而,新冠肺炎病毒的肆虐,却给人体免疫功能带来了前所未有的挑战。

疫情不断反复,“二阳”“三阳”浪潮的袭来,许多人陷入了“阳-阳康-复阳”的反复循环。在与病毒的持续对抗中,人体内似乎经历了无数轮战斗,很多人都感觉“自己的身体大不如前”——心慌、气短、浑身乏力、嗜睡、四肢酸痛无力等等,好像每个细胞都在不舒服地“哀鸣”……

与此同时,科学家们正竭力地深入探索人体免疫系统与新冠病毒之间错综复杂的相互作用,试图揭开这个“狡猾对手”的真面目。

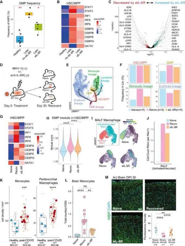
近日,顶刊Cell上的最新研究论文更是给人们以“警示”:重症新冠肺炎可引发先天性免疫系统的长期性变化!

具体来说,在重症新冠病毒感染后的数月至1年内,免疫系统中造血干细胞和祖细胞(HSPC)的先天免疫表型和表观遗传程序发生着持续的改变,从而导致不同转录因子(TF)的激活、炎症程序调控的改变以及骨髓细胞的持续增加。而HSPC表观遗传学上的改变又会通过分化传递给后代的先天性免疫细胞,从而影响整个免疫功能。

先天性免疫系统是身体对抗病原体的初始屏障,而该系统的改变或许能够解释“为何新冠病毒会致使多器官受损,以及部分长新冠患者的全身炎症水平持续升高”。因此,新冠感染之后出现组织修复变慢、抵御其他感染能力下降、慢性炎症以及长期后遗症等诸多情况,也正是因为免疫系统遭到了“重创”!

图片图片来自Cell, 2023, doi:10.1016/j.cell.2023.07.019

为探究康复期新冠重症患者的HSPC和成熟免疫细胞的分子特征,研究者从四类人中收集来血液样本,包括:早期康复患者(新冠感染者且在2-4个月内恢复)、晚期康复患者(新冠感染者且在4-12个月内恢复)、非新冠重症康复患者(非新冠感染者且住过ICU)以及健康人群,用于血浆和表观基因组分析。

研究者观察到,重症新冠患者在“阳康”后,无论是早期还是晚期,单核细胞的表观遗传景观均处于“持续改变”的状态。

同时,在新冠急性感染后的1年中,编码细胞因子(如IL10和IFNG)、粘附分子(如ADAM9和ITGAL)、分化因子(如KLF13和FOXP1)的基因的染色质可及性依然增加。

图片重症新冠肺炎后单核细胞的可持续表观遗传改变

进一步的snRNA/ATAC-seq分析显示,“小阳人”的CD14+单核细胞的基因表达与健康组大相径庭,可见这些寿命较短的循环细胞具有先天性免疫记忆。于是,研究者将目光聚焦于CD14+单核细胞。

果不其然,研究者在重症康复者的CD14+单核细胞中,观察到了炎症基因模块的转录上调,这其中就包括了与急性炎症和抗病毒反应相关的基因。

而在晚期康复者中,虽然有部分的炎症基因恢复到了基线水平,但与炎症(比如S100A8和S100A9)以及抗原递呈(比如CD74和B2M)相关基因仍处于上调水平。可见,晚期CD14+单核细胞表型的分化程度更高。

新冠感染后CD14+单核细胞的表观遗传和转录特征的改变,自然会体现在功能的差异上。与健康组相比,感染新冠病毒后的单核细胞分泌的IL-6、GM-CSF和肿瘤坏死因子α(TNF-α)明显更多,这也与上述分化程度更高与反应更强的分子表型相一致。

简单来说,你以为自己已经“阳康”了?但免疫系统的抗病毒能力远没有恢复如初。感染新冠病毒之后,单核细胞表观遗传的改变,可导致炎症反应的增强以及活化血管组织中病理改变的持续存在,所以“阳康”后的免疫系统依然很脆弱。

图片新冠感染后CD14+单核细胞的超响应性

而这一切的“始作俑者”还要归结为IL-6。

IL-6是一种多效应细胞因子,它能够激活免疫细胞、促进细胞因子分泌和细胞聚集,以及增强HSPC的维持和分化。在感染新冠之后,IL-6R信号通路被激活,进一步对不同的成体干细胞群进行编程,介导持久的造血功能以及先天免疫记忆的改变。

为了验证IL-6的“重要地位”,研究者让新冠感染初期的小鼠和人群接受抗体治疗,而这些抗体正能够阻止IL-6与细胞结合。

结果显示,与未接受抗体治疗的个体相比,阻断IL-6信号后的小鼠和患者的HSPC基因表达变化、单核细胞生成以及炎症细胞因子生成的水平明显更低。此外,接受抗体治疗的小鼠肺部和大脑中,单核细胞数量明显较少,且器官受损也较轻。

研究者认为,在重症新冠患者中,IL-6水平升高会导致组织损伤、免疫细胞聚集/激活,甚至急性呼吸窘迫综合征(ARDS)的发生。相反,如果对新冠重症患者使用IL-6R阻断抗体,则可以适度地改善预后。

图片感染后IL-6R信号通路情况

综上所述,感染新冠后切莫大意,尤其是重症患者!在感染病毒的数月至1年后,免疫系统中HSPC的先天免疫表型和表观遗传程序的改变持续存在,进一步影响了新冠后机体的免疫力及康复情况。事实上,在IL-6的介导下HSPC的表观遗传被重编程,甚至能够传递给后代细胞,进而引发这一持续性的改变。

最后,小编也想提醒大家:平时别太不把新冠放在眼里了,“三阳”浪潮之下还是要注意防护!毕竟在“狡猾”新冠病毒的反复攻击下,免疫系统可能也会“扛不住”;同时,要警惕反复感染之下,“长新冠”风险的升高。

参考资料:

[1]Cheong JG, Ravishankar A, Sharma S, Parkhurst CN, Grassmann SA, Wingert CK, Laurent P, Ma S, Paddock L, Miranda IC, Karakaslar EO, Nehar-Belaid D, Thibodeau A, Bale MJ, Kartha VK, Yee JK, Mays MY, Jiang C, Daman AW, Martinez de Paz A, Ahimovic D, Ramos V, Lercher A, Nielsen E, Alvarez-Mulett S, Zheng L, Earl A, Yallowitz A, Robbins L, LaFond E, Weidman KL, Racine-Brzostek S, Yang HS, Price DR, Leyre L, Rendeiro AF, Ravichandran H, Kim J, Borczuk AC, Rice CM, Jones RB, Schenck EJ, Kaner RJ, Chadburn A, Zhao Z, Pascual V, Elemento O, Schwartz RE, Buenrostro JD, Niec RE, Barrat FJ, Lief L, Sun JC, Ucar D, Josefowicz SZ. Epigenetic memory of coronavirus infection in innate immune cells and their progenitors. Cell. 2023 Aug 31;186(18):3882-3902.e24. doi: 10.1016/j.cell.2023.07.019. Epub 2023 Aug 18. PMID: 37597510.

撰文 | Swagpp、生物谷

编辑 | Swagpp

版权说明:梅斯医学(MedSci)是国内领先的医学科研与学术服务平台,致力于医疗质量的改进,为临床实践提供智慧、精准的决策支持,让医生与患者受益。欢迎个人转发至朋友圈,谢绝媒体或机构未经授权以任何形式转载至其他平台。

相关知识

哪些习惯会破坏免疫力
免疫系统疾病就是免疫力低下?
有必要打新冠肺炎疫苗吗? 新冠肺炎疫苗还能同房吗
接种新冠疫苗 建立免疫屏障
人体免疫力低下的7大元凶
维生素与免疫系统健康
提高免疫力才是预防疫病之本
免疫力低下怎么办
寻回丢失的免疫力:探索免疫力下降之谜
不能接种新冠疫苗的人都有哪些 接种新冠肺炎疫苗后能起效多久?

网址: “阳过”之后免疫力低?Cell重磅:新冠肺炎破坏人体免疫系统 https://m.trfsz.com/newsview140307.html