在肌肉骨骼疾病和外周关节损伤中,由于MRI的高对比分辨率,在识别肌腱、韧带、肌肉和关节软骨的细微软组织损伤方面具有高度可靠性,因此人们对MRI的使用有着压倒性的偏好。然而,CT技术的新进展为在更适合在时间敏感和紧急临床环境(如急性创伤)中进行快速检查的情况下检查肌肉骨骼系统提供了令人兴奋的机会。此外,这些创新还允许CT在MRI临床禁忌症或不可行的情况下使用(例如,原位起搏器和幽闭恐惧症)。
几种新兴的CT采集技术已专门针对肌肉骨骼应用开发和验证,包括允许检查运动中的外周关节的四维CT(4DCT)、允许进行负重(WB)检查的锥束CT(CBCT)以及允许进行材料特异性成像的双能量CT(DECT)。如果在临床实践中适当使用,这些技术可以极大地影响和增加诊断价值,补充各种肌肉骨骼疾病患者的MRI检查。
最新发表的一篇综述文章中,讨论了4DCT、CBCT和DECT在肌肉骨骼成像中的作用和独特的诊断价值,以检测和表征各种肌肉骨骼异常和周围关节损伤。我们一块学习一下。
4DCT
4DCT用于在第四维(时间)上对特定的感兴趣解剖区域进行成像采集。周围关节的4DCT通常通过在不同关节位置的预定义运动(例如,胫股关节的屈伸)期间对关节进行连续扫描获得。CT技术人员使用预定义和经验证的协议对受试者进行训练,以在特定时间范围内完成特定运动,从而优化动态生物力学紊乱的检测。在每个离散时间点,将获得的容积CT采集进行整合和组合,以随时间创建多个连续的3D容积。由于完成这项研究所需的数据量巨大,必须特别注意优化空间和时间分辨率,同时减少扫描时间和辐射暴露。原理与传统检查相同。扫描时间通过增加扫描架速度而得到改善,扫描速度与所获得的投影数量成反比,从而对图像质量产生负面影响。然而,通过使用诸如迭代重建的若干技术,可以在保持低扫描时间的同时提高图像质量,其中迭代重建使用来自相邻时间帧的数据来重建特定容积数据。
辐射暴露
4DCT检查的有效辐射剂量高于其单次MDCT采集当量。例如,膝关节的平均4DCT检查的有效剂量为1.57 mSv(单次采集MDCT=0.1 mSv)。腕关节和踝关节4DCT辐射剂量也在高达1mSv的类似范围内,与其他外周关节4DCT采集的测量剂量相当。皮肤是外周关节4DCT视野中唯一的辐射敏感组织。因此,四肢转换系数相当低(例如,膝关节和其他外周关节分别为0.005和0.001)。因此,即使对于累积辐射暴露量显著增加的4D扫描,有效辐射剂量也低于常规临床实践中常见的单次采集MDCT采集部位,如头颈部、胸部或腹部。无论如何,随着未来的创新与临床实践的结合越来越紧密,CT扫描仪供应商应提供准确的剂量学测量所需的信息,以正确估计癌症风险。
膝关节成像
膝关节的4DCT有助于表征髌股关节的生物力学紊乱,特别是在阐明髌股关节不稳定性和髌股关节断裂之间的关系方面。髌骨股骨畸形的传统评估在体检期间进行,通过检测髌骨在末端伸展期间的急性横向平移,也称为“J征”。
先前的一项研究对髌股关节不稳定患者进行了4DCT评估,表明这类患者有症状和无症状的膝关节中异常追踪模式的患病率很高,而只有有症状的膝(即,膝关节疼痛和僵硬,运动时膝关节卡住或屈曲,以及复发性慢性脱位,无论手术干预如何)的患病率更高。此外,该研究使用采集的图像从放射学上识别了J征和畸形程度,揭示了在存在X射线J征的情况下,较高程度的畸形与症状性髌骨不稳定呈正相关。
4DCT采集还显示,与具有临床指征而非髌股病理(如膝关节创伤)的受试者的匹配膝关节检查相比,单侧髌股不稳定患者的对侧无症状膝关节存在异常髌股形态学特征。与对照组相比,这包括滑车沟深度降低,胫骨结节滑车沟(TT-TG)距离增加,髌骨高度比增加,膝关节弯曲不同角度下髌骨平分线偏移增加。这项工作还表明,从静态和动态扫描中获得的数据可用于识别早期髌股关节炎。
4DCT检查还显示,与无症状的对侧膝关节相比,髌骨股骨不稳定患者在不同程度的膝关节屈曲时,不稳定膝关节的TT-TG距离、髌骨外侧倾斜和二等分偏移测量值更高。还观察到屈曲水平增加时测量值的下降趋势,表明动态评估可以提高诊断准确性。
4DCT的使用也有助于评估髌骨股骨矫正手术的结果。例如,在一项对进行髌股内侧韧带重建的患者进行术前和术后评估的研究中,4DCT证实髌骨稳定成功,对检测髌骨残余倾斜和移位非常敏感(图1)。

图1:一名患者的术前和术后4DCT采集,右侧胫骨结节截骨术,髌股内侧韧带修复,新诊断为左侧髌骨不稳定。A、在完全伸展术前,两个关节半脱位,右侧更严重(箭头)。B、完全屈曲时半脱位消失,对应于畸形的X线“J征”。骨赘(*)的存在与轻度至中度继发性骨关节炎一致。C、完整的术后图像显示右侧maltracking与残余左侧maltracking(箭头)的纠正。D、 术后关节完全屈曲。
4DCT在膝关节中的作用也超出了髌股关节不稳定性的特征。膝关节的4DCT检查也可用于研究韧带和半月板缺陷导致的膝关节生物力学紊乱。由于4DCT前景广阔,已经描述了半自动工作流程,允许计算屈伸运动期间的TT-TG和髌骨中心滑车沟距离。进一步优化工作流程的研究可能会进一步促进4DCT在临床实践中的应用,以诊断和干预后评估髌股关节不稳定和其他膝关节疾病。
足部和踝关节成像
4DCT评估可大大改善踝关节的结构和运动学复杂性及其可能的相关生物力学紊乱,尤其是取代目前用于关节联合损伤等病理的不可靠临床操作和2D射线测量。
一项初步研究概述了单侧踝关节不稳定患者的无症状踝关节的胫腓骨联合的5个特征(联合体前后距离、联合体平移、联合体胫腓角和踝关节胫腓角)的基线测量,发现联合体平移值在最大背屈和最大跖屈之间存在明显差异。在相同的背屈/跖屈运动下,对单侧不稳定患者的无症状踝部进行的研究也发现,除了联合运动宽度的变化外,腓骨也有外旋。随着更多的研究开始勾勒出关节在生理和病理条件下的运动行为,4DCT中可靠的定量评估可以成为诊断和最佳描述联合运动损伤的一种有希望的方式。
Gondim Teixeira等人在试图解决类似的不可靠诊断的难题时,对小腿关节进行了生理测量。随后,在健康人和关节僵硬和/或慢性踝关节不稳定的病人之间,使用4DCT对前倾过程中的小腿关节进行了比较研究,结果显示僵硬关节的冠状和轴状距骨角的测量值明显下降,不稳定关节的最大后方小腿面的覆盖度下降。
腕关节成像
与踝关节一样,腕关节也是一个复杂的机械关节,为临床应用4DCT提供了另一个潜在的机会。腕关节不稳定的一个常见病因是舟骨间韧带(SLIL)损伤和功能不全,传统上在考虑CT、MRI和关节镜检查之前,首先使用平片、2D电影摄影和临床操作进行检查。二维模式可能无法捕捉关节的复杂运动,侵入性措施通常是不可取的。三维CT已被证明是比较3种预定义运动(放松至握拳、弯曲/伸展和桡/尺偏)期间无症状和有症状腕关节的一种可行的替代方法。在这项研究中,在所有运动中,无症状腕关节的平均舟骨间隔变化均小于1mm,而在临床怀疑SLIL功能不全的有症状腕关节中,其平均间隔大于2mm。此外,SL间期变化与症状的存在之间存在轻度/中度相关性。
根据SLIL评估,在最近的一个病例系列中,使用4DCT诊断患有尺侧疼痛的患者的腕关节患上了豆三角不稳定(PTI)。PTI是腕关节内侧生物力学紊乱的一种罕见病因,传统上使用X线平片进行评估。使用4DCT,1名怀疑PTI和腕关节内侧疼痛的患者出现了豆状体异常掌侧半脱位,而另一名患者出现了慢性“咔嚓”感觉的豆状体近端半脱位。在11次测量中,动态评估豆状肌相对于三角肌的最小前后间隔和近端/远端平移被证明分别有助于检测每个病例中的细微PTI。
使用4DCT研究的其他腕关节疾病包括马德隆畸形(Madelung deformation),该畸形涉及月骨和三叉肌运动减少,触发月骨综合征和Kienböck病,血液供应中断导致月骨坏死。
为了进一步确定4DCT在常规实践中的作用,已经进行了一些研究,以根据预定义的运动和4DCT采集协议来建立腕关节中各种小关节的正常运动范围。在旋前-旋后运动中,使用改良的桡尺线和震中方法对患者无症状的远端桡尺关节进行对齐测量,结果表明,前者方法可以检测尺骨头的掌侧/背侧运动,具有良好的观察者间可靠性,最近还报道了使用4DCT对健康个体的舟骨、月骨和头骨运动进行量化,也对不同的腕关节运动进行了类似的研究,例如在桡尺侧偏、旋前旋入时。
肘关节、髋关节和肩关节成像
肘关节4DCT有助于传统临床诊断实体的分类,如双头撞击和骨关节炎,以及复杂疾病,如半肢畸形和开放复位/内固定植入物对桡骨头和桡骨小头的撞击。
由于与传统的单次采集MDCT相比,4DCT检查中的累积辐射暴露量增加,人体的近端关节(如髋关节和肩关节)与辐射敏感器官(如甲状腺和生殖器官)非常接近,4DCT并不是运动学评估的理想位置。尽管对辐射安全性存在潜在担忧,但研究已经概述了4DCT在显示凸轮型和钳型股骨髋臼撞击和相关半脱位中的潜在价值。在加载和卸载状态下手臂内收期间肩锁关节的生理运动以及胸锁关节不稳定性的诊断也已经使用运动学4DCT采集进行了描述。肩胛骨检查已用于详细描述肩胛骨折断综合征患者的动态撞击。
在我们的研究机构,由于辐射暴露问题,避免使用4DCT对近端关节进行检查。然而,随着使用人工智能的新的辐射减少协议和剂量减少算法,我们可能会重新审视4DCT在评估近端关节(如髋关节和肩关节)生物力学紊乱方面的潜在应用。
CBCT
CBCT是指一组CT系统,其使用具有足够纵向宽度的锥形X射线束,以允许使用大面积平板探测器(FPD)在单个机架旋转中对整个器官进行成像。这种广泛的轴向覆盖在MDCT技术及其在常规临床实践中的应用中变得越来越普遍。在肌肉骨骼成像中,基于FPD的CBCT的采用产生了新的下肢WB容积成像诊断能力。在WB-CBCT中,X射线源(通常为轻型、低功率、固定式X射线管)和FPD在与地面平行的平面内旋转,受试者站在机架内。一些WB-CBCT设计允许通过将扫描架旋转到垂直方向来对坐着的受试者的无负荷四肢进行成像。正在进行的全自动X射线成像室的开发可能会为未来专门的肌肉骨骼应用提供复杂的采集轨道,例如WB脊柱成像、金属伪影减少、以及WB脊柱、足部和踝关节CBCT采集期间的剂量效率提高。
下面,我们回顾了CBCT在肌肉骨骼成像中的应用、其功能的不断发展以及WB体积成像的新兴临床应用所面临的一些图像质量挑战。
运动伪影补偿
FPD-CBCT的技术特点使其非常适合紧凑型、特定于应用的3D成像平台,但其代价是面临几个独特的图像质量挑战。例如,相对较长的采集时间(通常超过15秒)使其易于出现运动伪影。新的CBCT硬件通过实现快速成像显示了解决这一问题的前景。然而,在可预见的未来,补充运动缓解和补偿策略对于CBCT的广泛应用仍然至关重要。
CBCT中的患者运动可以通过轻度固定来缓解。然而,即使在允许相对容易地应用约束垫的封闭孔末端WB-CBCT中,也观察到了中度到重度运动伪影。因此,需要补偿算法,由于肌肉骨骼CBCT中患者运动的非周期性(与心脏或呼吸运动不同),使得补偿算法的开发具有挑战性,从而排除了门控的使用。因此,大多数适用于肌肉骨骼CBCT的补偿算法首先估计每个投影视图中的患者位移,通常仅假设刚性变换。然后,在图像重建的反向投影步骤中,将该估计应用于修改每个视图的投影几何图形。
已经提出了各种运动估计算法。一类利用3D-2D配准,该配准找到一系列空间变换,将FOV中存在的已知参考对象最佳映射到测量投影。参考对象的可能选择包括皮肤附着基准、次相同解剖结构的先前无运动扫描、以及运动污染扫描中高衰减结构的轮廓。前两种方法受到工作流程限制,而最后一种方法在处理严重运动时可能不是最佳的。替代方法依赖于投影或图像质量度量来估计没有3D-2D配准的运动。其中包括投影一致性条件和基于图像的自动聚焦的应用,后者显示了对肌肉骨骼CBCT的适用性。
在自动聚焦方法中,通过执行数值优化以估计运动轨迹来实现补偿,该运动轨迹最小化运动引起的图像域失真的某些度量;在肌肉骨骼CBCT中,图像梯度的方差被用作度量。在涉及运动污染的肢体CBCT扫描的专家观察者研究中,自动聚焦校正体积显示出改进的诊断质量(图2)。

图2. WB-CBCT中的自动聚焦运动补偿。A、带有特征伪影图案(条纹和双轮廓)的运动污染扫描(箭头)。B、自动聚焦补偿可显著减少伪影(箭头)。
足部和踝关节成像
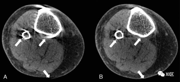
准确及时地诊断联合韧带损伤对于预防慢性踝关节不稳定和预防继发性骨关节炎至关重要。常规CT检查分析了非WB条件下的远端胫腓关节。如前所述,WB-CBCT有助于补充非WB检查的诊断产量;然而,前者的重要性尚待阐明。对于无症状的未受伤踝关节,已经表明,除了内侧间隙外,WB检查似乎在联合测量方面没有明显差异。相反,在临床怀疑有联合韧带损伤的既往踝关节损伤患者中,非WB和WB检查的平均胫腓后距离、间隔和角度测量值存在差异,观察者之间的可靠性接近完美水平。与胫骨平台附近不同水平的对侧未受伤踝关节相比,单侧联合不稳定患者的受伤踝关节显示3D容积WB-CBCT测量值增加;健康对照组中没有这种差异(图3)。

图3:一名40岁患者的WB-CBCT表现为左踝关节疼痛和肿胀。病史显示,两次受伤相隔8年,均接受保守治疗。体检显示中性愈合和足部对齐,但可能会引发一些临床操作。冠状(A)和矢状(B)视图用于确定胫骨平台上方的横向成像平面(红线)。C和D,创建2条相交线,即内侧腓骨皮质和外侧胫骨皮质切迹,有助于确定所选平面上的联合区。WB检查中,左侧联合面积为125 mm2,而对侧面积为110.1 mm2。
三维WB-CBCT有效地表征了成年后天扁平足畸形患者的外翻-后足排列(图4)。从平面放射线照相术中采用了用于后足对齐的各种放射测量,并在3D WB-/非WB CBCT图像中进行了验证。这些测量值,包括放射学测量的后足对准角和跟腱/跟骨结节角,与临床测量的后脚对准角的平均值有显著差异。后者低估了外翻对齐的放射学评估10到15度,这表明使用CBCT而不是物理测量的准确性更高。还注意到成人后天扁平足畸形的WB和非WB检查之间的测量差异,其中最可靠的包括内侧楔形至地板距离、冠状前足弓角、矢状长方体至地板距离和矢状舟骨至地板距离(图5)。此外,WB射线照片和WB-CBCT之间的测量结果(如内侧楔形到地板的距离、舟骨到地板的间距、矢状距骨旁第一跖骨角和内侧楔形到第一跖骨的角度)明显不同。

图4:使用WB-CBCT对一名56岁男子的足部软组织轮廓进行三维绘制,该男子患有8年来进展的成人获得性扁平足畸形。愈合处和跗骨窦区域的足底表面周围存在疼痛。体格检查显示,跖弓平坦,后脚、前脚和中足区域外翻外展,与提供的病史相符的区域有压痛,背屈受限,活动过度的第一射线。

图5.来自图4的患者WB-CBCT的多平面重建的测量值。A,足弓角的测量值。B、第一跖骨基底到地板的角度。C、〜50%的中间面露出,由测量的未覆盖(D2)除以距骨中间面(D1)的宽度计算。
考虑到WB-CBCT提供的体积信息的复杂性,3D关节对准的定量度量的广泛采用将可能依赖于自动化测量工具来提高人体读取器的可靠性。提出的解决方案包括需要手动选择解剖标志的方法,以及基于拟合踝关节计算机模型的算法,以自动检测标志。在未来,足部和踝关节CBCT的定量评估可能会扩展到本文所述的点对点度量,包括使用统计形状模型对人群中的形态变化进行综合分析。
自动聚焦运动补偿的区域应用使得能够单独估计和校正关节中每个骨骼的运动。通过在各个感兴趣区域之间执行时空插值,已经证明将该方法扩展到可变形软组织运动补偿是可行的。最近提出了一种基于深度学习的无参考版本的视觉信息保真度标准,以开发鲁棒的图像失真度量,防止局部最小或退化运动估计。
膝关节成像
CBCT也有助于在WB期间加重的某些膝关节病变。不同时间长度的WB对膝关节软骨和半月板运动的影响,对创伤后关节炎膝关节软骨和软骨下骨异常的检测,以及WB和仰卧位的髌股和胫股对齐都是最近研究的对象。除了WB能力,膝关节软骨下骨的体积骨密度(vBMD)评估可以使用CBCT类似的定量CT进行。一项尸体/活体联合研究显示CBCT和CT之间的vBMD相关性很高,尽管扫描仪之间的绝对值存在差异。
除了骨密度外,增强CBCT也可用于评估软骨厚度和分布。应用于此类检查的软骨厚度方法在预测胫骨软骨厚度分布方面显示出一致性。
与足部和踝关节成像一样,膝关节CBCT受益于识别解剖标志和测量的自动化方法,包括TT-TG距离、胫骨内侧和外侧斜率以及胫骨内侧深度,以提高使用大体积数据集收集数据的准确性、可靠性和速度。为此,已经描述了一种方法,其中使用图像配准将专家读者在CBCT扫描图谱集中识别的地标传送到目标体积上。这种方法在临床实践中提供一致的解释,并有助于检测生理性WB过程中细微的生物力学紊乱方面可能是非常宝贵的。应用CBCT体积得出的统计形状模型可以通过提供膝关节形态变化的定量见解来增强这种点对点测量。
与传统的MDCT相比,CBCT为软组织成像提供的高各向同性空间分辨率和较低的有效辐射剂量对骨关节炎和相关疾病中关节空间形态的细微变化非常敏感。此外,通过先进的图像后处理,CBCT在小梁微结构测量中显示出与金标准显微CT的强相关性。在同时获得骨vBMD和微结构质量测量的能力方面,CBCT可能为使用高分辨率外围定量CT的临床前成像提供有用的辅助手段,其优点是易于适用于较大的关节。然而,与高分辨率外周定量CT相比,CBCT倾向于高估小梁参数,低估皮质参数,尽管证明了整体骨结构评估的可行性。
此外,CBCT已用于通过生成整个胫骨关节表面(或相当于股骨)的局部关节空间宽度(JSW)的空间图来表征胫股关节空间形态。例如,可以提供JSW定量评估的静电模型显示,在主成分分析后,其表现与放射科医生对中间隔室中最小JSW的读数相当,性能有所改善。CBCT也被用于描述膝关节骨性关节炎患者的内侧胫股JSW减少和半月板挤压,与非WB检查相比,在WB-CBCT获取过程中,这种情况更加突出;这种生物力学紊乱在健康对照组中不显著。局灶性软骨损伤及其对膝关节接触力学的影响,如果不进行矫正,与已证实的骨关节炎进展的关系,也已使用CBCT检查进行了高度详细的描述。
创伤和骨折成像
CBCT关节造影在检测软骨缺损方面显示出显著的成功。在肩关节造影中,与传统的MDCT相比,不同的CBCT采集协议显示了辐射剂量和对肩袖和软骨病变的敏感性之间的权衡。此外,CBCT关节造影协议显示了更好的噪声比对比和小结构空间分辨率,显示了为软骨评估定制协议的潜力。与1.5T MRI相比,CBCT关节造影在一项研究中显示了踝关节软骨缺损检测的优越诊断性能。
CBCT检查将其检测骨折的能力与普通X线片(包括腕关节、手、手指、踝关节、足部和脚趾)进行了比较,结果表明,在检测细微骨折的灵敏度方面有了显著提高。由于CBCT解释从中等到接近完美,建议的骨科治疗的一致性也有所增加。同样,使用该模式观察到腕关节骨折的敏感性和检出率(与普通X线照片相比)增加。2021年的荟萃分析发现,使用CBCT检测和排除舟状骨骨折的敏感性相当高,特异性也很高。据报道,与MDCT在远端骨折方面的良好一致性,证明与CBCT提供的更好的耐受性和更低的有效辐射剂量相结合尤其有利。
除了四肢创伤和骨折的成像外,CBCT在手术中还被用于辅助椎体支架成形术、后凸成形术和椎体成形术,并修复孤立的移位距骨骨折、移位髋臼骨折和胫骨平台骨折。最近的进展表明,CBCT扫描的FOV扩展是可行的,可以在术中可视化长的解剖部位。在正畸学和颌面外科中,CBCT不仅被广泛描述为帮助诊断颅骨和牙齿的骨骼缺陷的一种方式,而且还在研究骨愈合的评估。此外,还报道了CBCT用于检测与药物相关的颌骨骨坏死,与超短回波时间MRI相当。结合骨愈合,目前正在进行研究,以评估是否存在金属硬件的四肢关节。
DECT
双能CT使用两个正交放置的探测器或具有交流电压的单个探测器(顺序传导,或使用快速kV切换),以在两个不同峰值电压水平上采集两个独立的数据集。
回顾性采集技术还使用双层探测器方法,一项荟萃分析探讨了DECT在检测椎体骨折中骨髓水肿(BME)的敏感性,指出了单源连续扫描的优势,因为它的后勤要求较低,从而提高了可用性。
然而,与其他DECT技术相比,这种技术的配准性较差,导致特异性降低。重建的CT图像经过专门用于图像优化、材料特定显示和物质定量的后处理算法。可以实现多种图像类型,包括加权平均、单能和虚拟抑制图像以及电子密度和原子序数图。在肌肉骨骼成像中,基于DECT的虚拟去钙允许精确地研究软组织结构,这在急性护理环境中特别有用。
创伤影像学
影像学上的隐匿性和细微骨折对于早期发现,以预防和降低严重发病的风险非常重要。传统的对此类疑似骨折的评估是通过MRI进行的。然而,DECT在急性创伤环境中的患者分诊中起着关键作用。
如前所述,DECT在使用虚拟去钙(VNC)图检测BME中的新作用显示出优异的诊断性能。在目前的文献中,VNC-DECT在检测脊柱、膝关节、踝关节、骨盆和腕关节创伤中的BME和急性骨折线方面显示出与MRI相当(在某些情况下,更高)的敏感性和特异性。初步研究表明,增强DECT在预测肱骨近端骨折后缺血性坏死中的作用。
应用于DECT的材料分解算法可以证明在穿透损伤的情况下用于检测含铁碎片,而DECT的金属伪影减少能力(特别是线束硬化伪影)可以改善周围组织的描绘。这种优点在研究具有金属假体的患者时也是有用的。事实上,虚拟单色DECT改善了用髓内钉和钢板治疗的疑似阑尾骨不连的评估。
痛风和风湿病影像学
DECT的一个有趣的用途是使用多平面和3D材料分解重建来诊断痛风,类似于区分尿酸肾结石和其他肾结石成分(图6)。最近的一项荟萃分析显示,在超过2年的病程中,使用DECT检测痛风的敏感性和特异性高于超声。

图6:一名65岁多关节疼痛患者的DECT,血清尿酸持续升高。A、 痛风关节病特征的第二远端指间关节侵蚀的显示(箭头)。B、 DECT采集的材料分解3D重建,在该采集上,在同一接头上以绿色显示尿酸钠沉积物(箭头)。
在一项模拟研究中,最近区分晶体沉积类型的努力成功地将尿酸钠沉积(痛风中普遍存在)与焦磷酸钙(假性痛风中普遍出现)或羟基磷灰石钙沉积区分开来,对不同DECT分解方法的探索证明了3D虚拟单色采集在受试者足部和踝关节的体模对照研究中对尿酸钠沉积物的定量和检测中的实用性。
DECT在诊断痛风方面的局限性也在当前文献中有所描述。在疾病早期的患者中,双能CT的表现不如超声。据报道,DECT在检测症状持续时间小于6周的患者和非痛风性痛风患者中的痛风时灵敏度较低。双能CT还显示,由于低于阈值的衰减,患者来源的液体痛风中的尿酸盐检测有限。
其他风湿病实体也对DECT的能力产生了新的兴趣。虚拟非钙DECT在检测疑似轴性脊柱关节炎患者的骶髂关节BME方面具有优异的诊断性能,在病变分级上具有显著的相关性。
肿瘤成像
双能CT在检测骨髓肿瘤方面也有着新的作用。文献中描述了原发性和转移性病变均受益于DECT检查。DECT虚拟去钙成像在检测具有未知意义的多发性骨髓瘤和单克隆γ, 测试VNC-DECT的敏感性表明,对于中度浸润性病变,非溶性浸润的检测优于传统CT,但低于MRI。
结 论
新的和不断发展的4DCT、CBCT和DECT技术有助于各种肌肉骨骼异常的早期和稳健表征。尽管MRI由于其较高的空间分辨率而提供了优越的可视化效果,但新的CT技术仍存在巨大的机会。使用4DCT的运动学分析提供了有关异常运动和周围关节潜在生物力学紊乱的宝贵信息,有助于诊断其他“隐性”疾病,并提供了干预后结果的宝贵信息。CBCT能够在生理性WB期间分析肌肉骨骼状况,并在术中成像、创伤成像和骨愈合评估中发挥作用。DECT能够产生几乎去除钙密度的图像,这使得DECT成为检测骨髓异常的极好工具。应用包括诊断创伤和非创伤环境中的骨髓异常,从X线诊断隐匿性骨折到转移性和原发性骨髓肿瘤的分类。DECT检查晶体关节病的能力也可以在临床实践中发挥关键作用,因为它比射线照相术表现更好。最后,DE技术在CBCT中的新兴应用将进一步增强CT技术在关节内对比度鉴别、BMD定量和BME检测中的功能,将DE和CBCT的优势叠加在一起。
文献原文:Ibad HA, de Cesar Netto C, Shakoor D, Sisniega A, Liu SZ, Siewerdsen JH, Carrino JA, Zbijewski W, Demehri S. Computed Tomography: State-of-the-Art Advancements in Musculoskeletal Imaging. Invest Radiol. 2023 Jan 1;58(1):99-110. doi: 10.1097/RLI.0000000000000908. 仅供专 业人士交流目的,不用于商业用途。
2023年2月24日
本文由“健康号”用户上传、授权发布,以上内容(含文字、图片、视频)不代表健康界立场。“健康号”系信息发布平台,仅提供信息存储服务,如有转载、侵权等任何问题,请联系健康界(jkh@hmkx.cn)处理。
相关知识
骨肌系统CT研究新进展(2021)
医学影像AI大盘点:CT篇
CT在腧穴针刺中的应用进展
医学影像技术的进展与未来展望
QCT骨密度测量法等在骨、肌肉及脂肪老年性改变的影像学评价
医学影像检查详解:从X片到CT
超声、CT、X线、MRI……最常用的影像检查怎么选?医生解答了!
骨显像
海慈光子计数CT落地临床 助力影像诊疗精准化
骨科影像的未来!盘点三款站立位三维X线成像!
网址: 骨肌CT成像最新进展 https://m.trfsz.com/newsview1872405.html