首页 > 资讯 > 通过对百岁老人的研究,我国学者发现促进健康老化的新基因ETS1

通过对百岁老人的研究,我国学者发现促进健康老化的新基因ETS1

编辑 | 王多鱼

排版 | 水成文

中国人口老龄化程度自2000年以来持续加剧,推进健康老龄化战略关乎国家经济发展和民生福祉。长寿老人,寿命长且无重大老年疾病,正是人类健康老化的典范。因此,以健康长寿人群为研究对象,解析其健康老化分子机制,相关研究成果有较大潜力应用于老年健康干预,为我国实现“健康老龄化”提供新的路径和策略。

健康长寿/老化是内在遗传因素和外在环境因素等共同作用的结果。鉴于早期研究表明,长寿遗传力较低(约25%),长寿人群在基因组 DNA 层面携带长寿相关基因变异数量较少,提示长寿人群在基因表达调控层面可能潜藏有更多的健康保护因子。

近日,中国科学院昆明动物研究所孔庆鹏研究员团队,联合中南大学湘雅医院李吉教授团队及海南医学院蔡望伟教授团队,在 Science 子刊 Science Advances 上发表了题为:ETS1 acts as a regulator of human healthy aging via decreasing ribosomal activity 的研究论文。

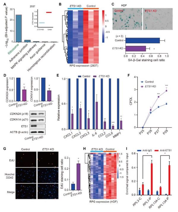
该研究调的对海南陵水县和临高县的185例长寿老人(98.9±3.8岁)外周血白细胞转录组数据(RNA-seq)进行分析,发现了一个新的且极其显著的信号——核糖体通路基因显著低表达。并进一步证实 ETS1 基因通过降低核糖体活性作为人类健康老化的调节剂。

该研究对新获得的海南省陵水县和临高县的185例长寿老人(98.9±3.8岁)和86例老年对照(是这些长寿老人的子女的配偶,57.4±9.0岁)的外周血白细胞转录组数据(RNA-seq)进行分析。信息学分析发现,长寿老人自噬-溶酶体通路基因显著高表达,这与团队早期基于海南省澄迈、万宁地区长寿人群的研究结果一致(Genome Research, 2018)。

有趣的是,研究人员于两批长寿人群中均发现一个新的且极其显著的信号,即核糖体通路基因显著低表达。

进一步分析发现,长寿老人核糖体编码基因低表达的转录调控因子很可能是 ETS1(ETS Proto-Oncogene 1)。进而,研究人员利用人真皮成纤维细胞(HDF)和 IMR-90 等复制衰老细胞模型进行功能验证,发现敲低 ETS1 可降低核糖体编码基因表达,并延缓细胞衰老。因此,该研究表明,降低核糖体参与的蛋白质翻译功能对延缓衰老/健康老化具有重要作用,转录调控因子 ETS1 参与该过程调控。核糖体是细胞内的蛋白质翻译工厂和能量消耗工厂。核糖体功能降低已被证实可延长低等动物寿命,如线虫、小鼠等;该研究首次揭示 ETS1 调控的核糖体功能降低是人类健康老化的另一重要机制,补充了核糖体功能与寿命延长的证据链条,即核糖体功能降低可能是从低等动物(线虫、小鼠)到高等动物(人)均存在的寿命延长机制。同时,长寿老人核糖体功能下降可能是机体应对老年时期由于线粒体损伤导致能量供应不足的重要方式,其可能通过能量的重新分配,实现健康长寿/老化,这也为衰老的超功能理论(hyperfunction theory of aging)提供了新证据。

中国科学院昆明动物研究所肖富辉副研究员、余琴博士和中南大学湘雅医院邓智利副研究员为共同第一作者,中国科学院昆明动物研究所孔庆鹏研究员、中南大学湘雅医院李吉教授和海南医学院蔡望伟教授为共同通讯作者。

论文链接:

https://www.science.org/doi/10.1126/sciadv.abf2017

阅读原文

相关知识

通过对百岁老人的研究,我国学者发现促进健康老化的新基因ETS1
复旦新研究聚焦中国80岁以上老年人如何活到百岁
我国学者在老年人健康生活方式与长寿基因对期望寿命的影响研究方面取得进展
对19名健康百岁老人访谈发现:长寿老人有六个特点
我国学者研究显示,健康的衰老,始于良好的睡眠
老年脑认知健康研究与促进
我国学者发现促进多组织再生、延缓衰老的小分子代谢物
老年人健康管理的研究进展
我国老龄消费的新趋势、现实挑战及对策研究
高分文献:解析长寿与抗衰老背后的机制

网址: 通过对百岁老人的研究,我国学者发现促进健康老化的新基因ETS1 https://m.trfsz.com/newsview1897579.html