安化黑茶因其独有的加工原料、加工工艺和环境,而具有独特的风味品质和显著的降脂减肥等健康属性。本期主要介绍安化黑茶的降脂减肥功效及其机理,以期为广大消费者健康饮茶提供理论依据。
一、安化黑茶水提物的降脂减肥作用
安化黑茶具有显著的降脂减肥作用。相关动物和临床试验表明,茯砖茶可以通过显著改善高脂饮食诱导动物模型的体重增加、脂肪组织积累、脂肪细胞大小、肝脏重量、肝脂沉积,以及血清总胆固醇(TC)、甘油三酯(TG)、低密度脂蛋白胆固醇(LDL-C)和高密度脂蛋白胆固醇(HDL-C)水平等起到降脂减肥效果。一方面,茯砖茶能显著降低肥胖大鼠血清中瘦素含量,有效提高小鼠体内的抗氧化水平,促进皮下脂肪组织褐变以诱导能量消耗;另一方面,茯砖茶可以激活胰淀粉酶和蛋白酶,下调血清总蛋白(TP)水平,降低血清丙氨酸转氨酶和天冬氨酸转氨酶活性,促进脂肪分解,从而阻止体重增加,起到减肥作用。此外,体外研究表明,茯砖茶可以显著改善细胞脂质代谢,抑制α-淀粉酶、胰脂肪酶活性、前脂肪细胞分化及脂肪积累。

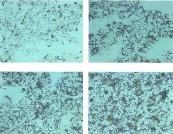
胎牛血清(FBS)处理后的油红染色图片(A-对照组,B-30%FBS处理组,C-50%FBS处理组,D-70%FBS处理组,处理组产生明显细胞内脂肪变性现象)
与绿茶相比,茯砖茶与绿茶均能降低食物利用率、脂肪系数和Lee氏指数,抑制大鼠体重的增长,且效果显著,但茯砖茶降低血清TG的效果要优于绿茶。
二、安化黑茶生物活性成分的降脂减肥作用
茶多酚/儿茶素类化合物一直被认为是茯砖茶抗肥胖作用的主要成分。一方面茶多酚可抑制TC及TG的增加,降低LDL-C,升高HDL-C的含量;另一方面茶多酚可改变肠道菌群的结构组成,与肠道菌群之间相互作用,产生短链脂肪酸、胆汁酸、氨基酸和TPs衍生的代谢物,从而局部和系统地发挥其生物学作用,对高脂血症大鼠有预防作用。

TPs与肠道菌群的相互作用以多元素、多靶点的方式改善MS。复杂的反应发生在肠道中,TPs和肠道菌群相互作用。暴露于TPs后,肠道菌群组成的变化和产生的代谢物都在局部和全身发挥生物学效应,有助于ms的改善。竖直向上的红色箭头表示增加或激活效应;垂直向下的蓝色箭头表示减少或抑制效果;实线箭头所指向的在有关研究中已被报道,虚线箭头所指向的未被报道。
实验证明茯砖茶多酚增加了系统发育多样性,降低了厚壁菌门/拟杆菌门比值,显著减弱了高脂饮食诱导的肠道菌群紊乱,抑制肥胖。此外,儿茶素还通过降低大鼠体脂率和脂肪细胞大小,调节高脂饮食诱导的脂质代谢紊乱,减少脂肪积累,降低肥胖大鼠体重。
茶褐素可通过提高短链脂肪酸水平改善肠道稳态,改善脂质和葡萄糖紊乱,降低喂养小鼠的体重。另外,茶褐素通过调节高糖饮食喂养大鼠盲肠微生物的多样性和丰度,来降低体重和甘油三酯水平,说明茯砖茶的茶褐素对抑制肥胖具有重要作用。
茶多糖可以明显降低高脂血症大鼠的血清总胆固醇、增强抗动脉粥样硬化因子、减少肝细胞内脂肪沉积,并且能够调节其肝脏中与脂代谢有关的Zn、Cu、Mg含量,使Zn/Cu比值趋于正常水平,对降低大鼠血脂有促进作用。多糖的干预可以提高肠道菌群的多样性,调节肠道菌群组成和代谢以缓解肥胖。
茯砖茶生物碱能有效降低脂肪肝水平,防止肝纤维化和脂滴积聚,咖啡碱能抑制脂质吸收,在茯砖茶降脂减肥功效中起重要作用。
茯砖茶中的一些微生物及其代谢产物通过调节肠道菌群在预防肥胖中发挥关键作用。冠突散囊菌发酵液可以改善高脂饮食所导致的小鼠肝脏细胞体积增大与肝脏脂质的异常堆积等病理状态,有利于淀粉、蛋白质的消化吸收,抑制脂肪分解和吸收,具有明显的辅助降血脂作用。另外,通过食用从茯砖茶中分离出来的冠突散囊菌,可平衡肠道菌群、调节真菌和细菌组成、增加产生α-乳酸酯和丁酸酯的细菌,从而保护小鼠免于肥胖。

三、安化黑茶的降脂减肥机理
1. 影响脂肪细胞,增加能量消耗
脂肪组织主要由白色脂肪细胞(WAT)和棕色脂肪细胞(BAT)组成,茯砖茶可以通过增强BAT活性和WAT褐变,从而起到 增加能量消耗、抑制肥胖的作用。研究表明茯砖茶中的儿茶素衍生产物茶褐素可通过增加解偶联蛋白1(UCP1)刺激AMPK-PGC1α通路和调节短链脂肪酸(SCFAs)增强BAT活性和WAT褐变,从而有效地促进产热基因和线粒体基因的表达,进而增加能量消耗,减少脂肪堆积。研究发现,茯砖茶可下调关键成脂转录因子(C/EBPα、PPARγ 和 SREBP1c)及其下游靶基因(aP2和FAS),并上调棕色脂肪细胞特异性基因(包括解偶联蛋白1)的表达,促进皮下脂肪组织的褐变及能量消耗,从而抑制脂肪和肝脏组织中的脂肪生成。

小鼠肝脏切片( Chow对照组, HFD高脂诱导的肥胖模型组, FTE茯砖茶处理组。 用茯砖茶水提物干预高脂小鼠后,FTE组的肝脏切片相比HFD组,显示出减弱的脂肪变性程度,且脂滴的数量减少,几乎观察不到白色的脂滴,与Chow组比较没有明显的差异)
2. 调节脂质代谢
茯砖茶水提物可显著降低脂肪合成关键基因FAS、CD36的相对表达,可明显改善高脂引起的肝脏变性和脂滴沉积。因此,茯砖茶降脂减肥机制可能是通过抑制肝脏体内脂肪合成关键基因的相对表达、减少脂肪合成,代谢通路中的关键酶和转运蛋白的合成从而减少体内脂肪的蓄积达到减肥的效果。
3. 调节肠道菌群
茯砖茶可有效抑制高脂饮食饲喂导致的小鼠肥胖,这可能是由于肠道菌群的调节,改变了肠道菌群的组成和多样性,提高了有益细菌的相对丰度,减少了有害细菌的比例。此外,在抗生素治疗后,茯砖茶对微生物群耗尽的小鼠显示出有限的抗致肥作用,这表明肠道菌群在茯砖茶的抗致肥活性中发挥着关键作用。冠突散囊菌通过增加小鼠肠道中醋酸盐和丁酸盐产生菌的数量,调节肠道真菌和细菌组成,有效调节肠道菌群和缓解肥胖。

本文节选自《中国茶叶》2023年第1期,P6-11、P17,《安化黑茶的降脂减肥功效及作用机理》,作者:李勤,熊立瑰,晏玲玲,翟玉珂,刘仲华。图片来源于网络。
征文启事| “裕荣香杯”全国茶学论文征文
请关注!中国茶科所2023制茶师培训计划
茶原料应用创新驱动新式茶饮行业高质量发展
安化黑茶健康产品开发利用与展望
白化茶园耕作与土壤管理技术
茶叶科普| 茶叶香气从哪儿来,红茶冷却后变浑浊的原因是什么?
返回搜狐,查看更多