腹主动脉 “ 小慢波 ”,你怎么啦? 浙江省丽水市人民医院 许敬华
正常膈肌水平腹主动脉血流血流频谱我们再熟悉不过,多普勒显像近似于高阻力的外周肢体动脉,表现为心脏收缩所致的高速正向血流,随后为舒张早期短暂反向血流,最后是舒张晚期低速前向血流,即三相波或双相波(图1)。但如果腹主动脉血流频谱出现低流速低搏动的“小慢波”改变(图 2),到底发生了什么?本文通过回顾性分析 17 例腹主动脉“小慢波”改变患儿的声像图特征,探讨异常频谱形成的原因,旨在通过间接征象提高相应先天性心脏病的超声检出率及准确率。
本组17例患儿患儿腹主动脉血流频谱均表现为低流速低搏动的“小慢波”改变,血流加速时间延长;其中主动脉缩窄13例,彩色多普勒均于胸骨上窝主动脉弓长轴切面探及主动脉弓降部五彩镶嵌花色血流束,流速明显增快,峰值流速最高达 4.60 m/s(图 3);主动脉弓离断 4 例,其中 A 型(离断位于左锁骨下动脉远端)3 例(图4),B型(离断位于左侧颈总动脉与左侧锁骨下动脉之间)1 例。所有患儿均经DSA或 CTA证实(图 5)。

图1 正常腹主动脉血流频谱

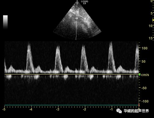
图2 腹主动脉低流速低搏动的“小慢波”改变

图3 胸骨上窝切面示主动脉弓降部流速明显增快达4.60 m/s

图4胸骨上窝切面示主动脉弓自锁骨下动脉远端离断

图5 主动脉缩窄CTA
膈肌水平腹主动脉异常频谱表现为低流速低搏动的“小慢波”改变,此“小慢波”的称谓最早作为观察肾动脉主干狭窄后远段肾动脉低流速低灌注改变的指标,现已广泛用于诊断腹部及外周血管病变。本文中患儿腹主动脉“小慢波”频谱收缩期峰值流速明显降低,AT明显延长,且存在自收缩期延伸至舒张期的连续性血流频谱,与正常腹主动脉频谱分辨并不困难。
在这里不得不提到一个经典的动脉系统理论:“远端梗阻增加近端阻力”“近端梗阻降低远端强度”!这里的强度是指流速、流量,根据Spencer’S曲线,梗阻大多数应该是指70%以上的重度狭窄,因为只有重度以上的狭窄,其远段才可能出现低流速低搏动的小慢波改变。
本文小慢波组中13例为主动脉弓缩窄患者,此类患者在未经治疗的新生儿中约有17%的病死率,即使能够存活至成人阶段,平均寿命仅35岁,因此早期明确诊断及选择合理的手术方式对患者至关重要。 但主动脉缩窄患者早期心脏并无明显异常,即使随着年龄增长,患者心脏继发改变(如左室肥厚)也并不明显,而胸骨上窝切面却随年龄增长越发显示不佳,此时,腹主动脉“小慢波”改变的间接征象就尤为重要,可提示其近心段动脉有中-重度以上的狭窄,应该仔细探查主动脉瓣以上至膈肌水平腹主动脉全程血管,主动脉弓则是重点探查部位。在发生主动脉弓缩窄后,其狭窄近段阻力大,呈高压腔,造成上肢血压明显增高,本组13例患儿中年龄最大者14岁,因由此造成药物控制不满意的高血压而就诊;狭窄远段呈低压腔,由于狭窄两端不论收缩期还是舒张期均存在明显压差,所以在腹主动脉形成收缩期至舒张期的连续性“小慢波”改变,其远段动脉(包括肾动脉等分支)也呈“小慢波”改变,血流的灌注不足使其更远端的下肢动脉压则呈明显的低血压,这也提醒临床医师在发现小儿上肢测量结果为顽固性高血压时,应测量下肢血压,这对本病的间接诊断也有一定的帮助。
近年来也有学者报道利用双侧肾动脉“小慢波”改变间接诊断主动脉缩窄,但笔者认为双侧肾动脉“小慢波”改变的成因较多,除主动脉缩窄外,膈肌水平主动脉至发出双侧肾动脉以上任何一段腹主动脉重度狭窄,均可造成肾动脉的“小慢波”改变(单侧肾动脉开口或近端重度狭窄同样可导致同侧叶间动脉小慢波改变,也是最初描述的小慢波来源,但并不在此文讨论范围)。而“小慢波”改变本身也是一项间接诊断指标,对于间接征象,应尽可能缩小导致其成因的可能诊断范围,因此笔者认为选择膈肌水平腹主动脉“小慢波”频谱作为间接诊断主动脉缩窄的指标更为合理。
本文小慢波组中4例为主动脉弓离断,主动脉弓离断是较少见的先天性主动脉弓畸形,可分为3型:A型,离断位于左锁骨下动脉远端与降主动脉之间;B型,离断位于左锁骨下动脉与左颈总动脉之间;C型,离断位于左颈总动脉与无名动脉之间 ;临床上以A型最为多见。本组病例中A型3例,B型1例。出现“小慢波”频谱的原因与主动脉缩窄相似,主动脉弓离断患儿降主动脉的血流均来自肺动脉通过动脉导管供给,此时动脉导管相当于肺动脉与降主动脉之间的狭窄段,造成肺动脉高压和降主动脉低压,两者之间无论收缩期还是舒张期均存在压差,故远段腹主动脉会出现“小慢波”频谱。主动脉弓离断的超声直接征象需从胸骨上窝探查, 但本病常伴有肺动脉明显增宽及升主动脉细而影响主动脉弓的显示,而离断段很短者还需要与严重的主动脉缩窄鉴别。本文有1例胸骨上窝切面显示不佳,根据腹主动脉“小慢波”改变提示其近段一定存在中至重度狭窄,但很难判断是极重度主动脉缩窄还是主动脉弓离断,笔者根据明显的肺动脉高压和升主动脉仅有收缩期血流判断其为主动脉弓离断可能性大,后经 DSA 证实为A型主动脉弓离断。
综上所述,膈肌水平腹主动脉“小慢波”频谱可间接提示主动脉缩窄和主动脉弓离断的可能,有助于超声医师有重点地选择检查部位,提高诊断准确率。
(特别说明:本文改编自笔者于2018年4月发表于《临床超声医学杂志》的文章“腹主动脉异常频谱对主动脉缩窄及主动脉弓离断的间接诊断价值”)
本文由“健康号”用户上传、授权发布,以上内容(含文字、图片、视频)不代表健康界立场。“健康号”系信息发布平台,仅提供信息存储服务,如有转载、侵权等任何问题,请联系健康界(jkh@hmkx.cn)处理。
相关知识
想瘦腹怎么做?教练教你几个高效燃脂瘦腹的动作
呼啦圈减肥效果怎么样 呼啦圈一月塑形快速瘦身
腹部赘肉怎么减效果好 腹部减肥的方法
情绪波动对动脉粥样硬化有何影响
腹部减肥最快的方法 6招还你平坦小腹
呼啦圈能瘦腰吗 怎么转呼啦圈减肥
把脉小常识 中医把脉最佳时间
怎样才能有效瘦腰?六种运动方法让你瘦出小蛮腰
因为一点小事情绪波动比较大怎么办?
如何瘦腰腹 5个瘦腰动作让你变小腰精
网址: 腹主动脉“小慢波”,你怎么啦? https://m.trfsz.com/newsview268575.html