原创 医学界 医学界神经病学频道 收录于合集 #PSCI管理专家共识(2021)全国线上巡讲 7个
*仅供医学专业人士阅读参考
层层剖析,锤炼临床诊疗思维
在“卒中后认知障碍管理专家共识(2021版)全国线上巡讲-华中站”上,山西省心血管病医院王建红教授讲解了一个精彩病例,一位65岁以“记忆力减退1月”为主诉的患者,如何层层剖析、一步步揭晓最终答案?
病例资料回顾
患者,女,65岁,初中学历,以“记忆力减退1月”为主诉入院。
现病史:
患者于2022年1月初无感冒等诱因被家人发现记忆力减退,主要为近期记忆减退,自己准备做的事情经常忘记,做事丢三落四,伴反应迟缓,目光发呆,言语减少、起床、行走等动作缓慢。
无幻觉、肢体抖动、大小便失禁、言语不利等症,症状持续,遂就诊于当地医院,头颅CT检查提示脑梗死。
给予输液等治疗2天(具体不详),效不佳,为求进一步诊治,入住我院。
既往史:高血压病史10余年,血压最高180/110mmHg,平日规律服用降压药,具体不详,平日血压在170/100mmHg左右;否认糖尿病、冠心病史。
个人史及家族史:否认吸烟、饮酒史;母亲有脑梗死史。
体格检查:
血压:140/90mmHg。
神经系统阳性查体:神志清楚,语流利,反应迟缓,粗测记忆力、计算力减退,时间、空间定向力正常。双眼球各向运动充分、灵活,无眼震。双额纹、唇沟对称,伸舌居中。四肢肌力5级,肌张力适中。双侧指鼻试验、跟膝胫试验稳准。双巴氏征(-)。感觉系统检查正常。
简易智力状态检查量表(MMSE):17分,蒙特利尔认知评估量表(MOCA):11分。
汉密尔顿焦虑量表:45分;汉密尔顿抑郁量表:56分。
辅助检查:
血常规:正常;血糖:5.9mmol/L。
肝功能、肾功能、电解质:正常。
凝血功能:正常。
糖化血红蛋白:6.5%
同型半胱氨酸:31μmol/L。
血脂:TG:0.91mmol/L;CHO:4.23mmol/L;LDL-C:2.24mmol/L。
甲功五项正常。
血叶酸、维生素B12、肿瘤系列、传染病系列正常。
心电图:窦性心律,心率66次/分,大致正常心电图。
心脏超声:二、三尖瓣关闭不全(轻度),左室收缩功能未见异常,舒张功能减低,EF:64%。
颈动脉超声:双侧颈总动脉、颈内动脉斑块形成。
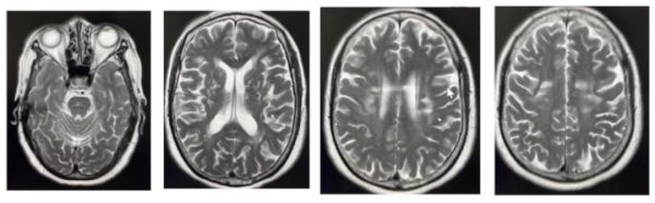
头颅MRI DWI(2022-02-21我院):左侧半卵圆中心腔隙性梗死(亚急性期)。

头颅MRI T2:脑桥、双侧脑室旁底节区和半卵圆区都有多发腔隙和小的缺血梗死灶。

头颅MRI FLAIR:底节区、半卵圆区、放射冠区都有多发的腔梗、缺血和白质高信号改变。

头颅MRA:颅内动脉硬化伴局限性狭窄。

病例分析
患者为老年女性,疾病特点为亚急性病程。
▌ 定位诊断:
记忆力、计算力、定向力减退——大脑皮层及皮层下区域。
▌ 定性诊断:
1.血管性认知障碍(VCI);2.高血压3级(极高危);3.高同型半胱氨酸血症;4.颈动脉硬化。
王建红教授表示,患者做了体格检查无明显发现,血化验叶酸、维生素B12、甲功、传染病和肿瘤系列都没有发现异常,结合头颅核磁,初步诊断为血管性VCI。
复习:VCI
VCI是脑血管病变及其危险因素导致的临床卒中或亚临床血管性脑损伤,涉及至少一个认知域受损的临床综合征,涵盖了从轻度认知障碍到痴呆,也包括合并阿尔茨海默病(AD)等混合性病理所致的不同程度的认知障碍。
明确了VCI的定义,王建红教授接下来根据2019年发布的《中国血管性认知障碍诊治指南》介绍了VCI的诊断要点,VCI诊断的核心要素,主要包括三点,第一是具备认知障碍,主诉或者知情者报告有认知障碍,而且客观检查也有认知障碍的证据,和(或)客观检查证实认知功能较以往减退。
第二个是血管因素,包括血管的危险因素、卒中病史、神经系统局灶体征、影像学显示的脑血管病证据,以上各项不一定同时具备,但是要有这些其中的1~2项。
第三点是要确定这些血管因素与认知障碍存在因果关系,通过询问病史、体格检查、实验室检查和影像学检查,确定认知障碍与血管因素有因果的关系,能除外其他导致的认知障碍的原因。
根据程度,VCI的诊断又分为轻度VCI和重度VCI,轻度VCI主要是指日常能力基本正常,复杂的工具性日常能力可以有轻微障碍;且不符合痴呆的诊断标准。重度VCI是指认知功能损害明显影响日常生活、职业或社交能力,符合痴呆诊断标准。

依据病史及临床病理/影像学特征,重度VCI分为:
卒中后痴呆(post-stroke dementia,PSD)
皮质下缺血性血管性痴呆(subcortical ischemic vascular dementia,SIVaD)
多发梗死性痴呆(multi-infarct dementia,MID)
混合型痴呆(mixed dementias,MixD)
此外,王建红教授介绍:“VCI诊断需要进行临床评估、神经心理学评估、影像学评估,至少三个方面的评估。”
1
神经心理学评估
神经心理学评估主要是从注意与处理速度、执行功能、语言功能、学习记忆能力、视空间能力、整体认知、日常生活能力多个方面进行评估。

2
神经影像学评估
神经影像学评估建议,MRI应至少包括T1WI、T2WI和FLAIR序列,评估内容主要包括五个方面:
(1)脑萎缩:使用心血管健康研究(cardiovascular health study,CHS)量表对脑萎缩指标进行定量测量。
(2)脑白质高信号:临床广泛使用的是Fazekas量表(0-6分),脑室旁高信号评分:①0分:无病变;②1分:帽状或者铅笔样薄层病变;③2分:病变呈光滑的晕圈;④3分:不规则的脑室旁高信号,延伸到深部白质。深部白质高信号评分:①0分:无病变;②1分:点状病变;③2分:病变开始融合;④3分:病变大面积融合。此外,也可以使用年龄相关性白质改变(age-related white matter changes,ARWMC)量表进行评估。
(3)脑梗死:要记录所有脑梗死的数量、大小及位置,并使用CHS量表与血管周围间隙进行区分。
(4)脑出血:报告出血位置、数量及大小。
(5)其他:包括占位性病变、动静脉畸形等。
随后,王建红教授进一步介绍,2019年同样推出了《脑小血管病相关认知功能障碍中国诊疗指南(2019)》,对于脑小血管病认知障碍诊断标准,规范如下:

回到2019年发布的《中国血管性认知障碍诊治指南》,推荐的药物包括胆碱酯酶抑制剂(多奈哌齐、加兰他敏、卡巴拉汀)、NMDA受体拮抗剂(美金刚)、其他药物(尼莫地平、丁苯酞、脑活素、小牛血去蛋白提取物、银杏叶提取物等)。
对于本例患者,最终制定治疗方案如下:
抗栓:阿司匹林100mg Qd口服。
调脂稳斑:瑞舒伐他汀10mg Qn口服。
降压:苯磺酸左氨氯地平片2.5mg Qd口服;替米沙坦40mg Qd口服;尼麦角林10mg Tid口服。
改善循环:银杏吐提取物注射液70mg Qd静脉滴注。
总结:
1.血管性认知障碍发生率高,严重影响患者生活质量及生存时间,提倡早筛查发现及评估,及时综合干预的原则。
2.控制血管危险因素,尤其是血压及血压变异,对防治血管性认知障碍的有积极作用。
专家简介

王建红
山西省心血管病医院神经内科副主任医师
山西省医学会第十届神经肌肉病学组委员
山西省医学会第一届罕见病专业委员会委员
山西抗癫痫协会第一届青委会常委
山西省老年学和老年健康学会心脑血管病专业委员会第二届委员会常委
2008年毕业于山西医科大学,硕士
目前主要从事脑血管病相关工作及研究
2012年于北京天坛医院进修学习
2015年取得重症医学专科资质
本文来源丨医学界神经病学频道
本文整理 | 希望
本文审核 | 王建红 山西省心血管病医院
责任编辑丨陆离先生
版权声明
本文原创,转载请联系授权
-End-