国家癌症中心发布的中国最新癌症数据《2017中国肿瘤登记年报》显示:在中国,每年新发癌症病例达429万,占全球新发病例的20%,死亡281万例。也就是说,全国每天约1万多人确诊癌症。
数据触目惊心,人们健康保健意识因此也在逐步增强,越来越多的老百姓开始注重体检。各式各样的体检中心像雨后春笋般应运而生。在这纷杂的体检项目中,影像检查作为体检中尤为重要的一部分,但是很多人不明白如何选择影像检查,这也正是影像检查还有很多高深奥秘。下面我们就为您梳理影像体检的价值与认识。
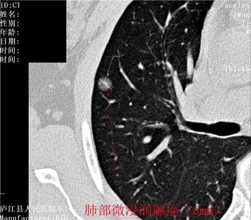
肺癌目前发病率排名第一,肺癌5年生存率任然低于20%,为什么会这么低?就是发现肿瘤时就是晚期肺癌,晚期肺癌无论是手术还是放化疗治疗效果就会差很多。如何能够早期发现?目前国际上达成专家共识,那就是低剂量螺旋CT检查,通俗易懂地说就是接受最小的辐射剂量,达到最好的早期肺癌的诊断效果,要知道,早期肺癌是不痛不痒,没有任何症状的,要想查出它只有CT检查,照张胸片那就意味着是“凶片”。胸部低剂量CT让早期肺癌无处逃遁!
乳腺癌的发病率也在逐年上升,那么如何常规体检筛查呢?这需要根据年龄、乳腺腺体致密程度而定,40岁以前乳腺影像以超声检查和乳腺磁共振为主,40岁后以数字化乳腺钼靶检查为主,辅以超声,高危人群以及有乳癌家族史的推荐磁共振检查。乳腺还要做磁共振?对的,磁共振对乳腺软组织分辨率非常高,诊断价值也非常大。有人一定会问做了钼靶,你让我做超声,超声做了让我做磁共振,这不是折腾人吗?这恰恰说明影像诊断的复杂性和艰巨性所在。一个病灶特别是处在早期阶段或者是非常小的时间影像学特征很少,这就需要我们诊断医生细致入微的观察和分析,还有通过不同影像手段找到一些共同支持或共同排除的病变,这个过程影像诊断医生也是处在最难最纠结的过程。很多人认为机器已经把图像都做出来了还不好诊断吗?这正是他们忽略了影像检查中人的技术含金量了。比如一幅图像多个专家会诊可能会得出不同的诊断结论,而且正确诊断结论只有一个,这也正体现影像检查中诊断医生的价值所在。
很多人都认为磁共振检查属于高档检查,都是有问题才做的检查,其实不然,磁共振在正常健康检查过程中越来越得到重视,而且除了神经、脊柱、骨关节这些大家熟悉的检查部位,在腹盆腔这些部位检查的作用更大、更强,只是这些检查由于对诊断医生和扫描技术人员的专业水平要求比较高,对患者配合程度也是有一定要求的,但是对于肝脏、胆道、胰腺、脾脏、肾脏、子宫附件这些部位细微病变的发现很多情况下是CT和超声望尘莫及的。对于乙肝或携带者肝脏的体检首选是磁共振检查,根据北京友谊医院的研究成果和我们实际工作的发现,磁共振对于肝脏微小病变的发现明显优于其他检查,而且可以比较容易的鉴别肝脏的良性结节、癌前病变和小肝癌等病变。
庐江县人民医院东区影像科常规开展肺部低剂量CT筛查、数字化乳腺钼靶、磁共振高端体检等一系列影像体检,在本地区具有一定影响力。把疾病扼杀在萌芽状态是我们的责任,相信在我们的共同努力下,庐江县人民医院东区一定能够成为您的健康守护神。
图片展示:健康体检中发现的肿瘤







相关知识
健康体检中影像学检查的选择
如何选择医学影像检查
影像检查是什么
常见疾病的影像学检查
常用的影像学检查有哪些哪种检查更好
影像学检查有哪些
影像学检查有哪些项目
影像学检查概述
医学影像检查的重要性
影像检查的优缺点及检查适应症
网址: 健康体检中如何选择影像相关的检查? https://m.trfsz.com/newsview603972.html