*仅供医学专业人士阅读参考
耐药、复发、转移的肝癌好难治啊!近日,国际著名期刊Nature杂志以封面论文形式,在线发表了上海交通大学医学院附属仁济医院上海市肿瘤研究所覃文新教授团队、肿瘤介入科翟博教授团队、上海东方肝胆外科医院周伟平教授团队以及荷兰癌症研究所René Bernards实验室的合作研究成果“EGFR activation limits response of liver cancer to lenvatinib(EGFR的反馈激活限制了仑伐替尼的肝癌疗效)”。
研究显示,EGFR表达阳性的肝癌患者口服仑伐替尼无效后,联合应用EGFR抑制剂抑吉非替尼有潜力打破肿瘤耐药性,有效抑制肝癌进展,客观缓解率(ORR)高达33.3%!医学界肿瘤频道诚邀论文通讯作者之一、上海交通大学医学院附属仁济医院肿瘤介入科主任翟博教授分享研究主要结果以及中晚期肝癌靶向联合治疗前景。
单药缓解率不足30%,中晚期肝癌亟需更有效的治疗手段
由于肝癌早期症状隐匿且进展迅速,绝大多数患者一经确诊便已进入中晚期,加之肝硬化等影响因素,真正能够外科切除者仅占20%左右,无手术机会者5年生存率不到18%[1]。上世纪80年代末,介入医学开始登上历史舞台,肝动脉栓塞化疗和局部消融术等为失去外科切除机会者带来了新的希望。翟博教授介绍到:“但是,如同外科切除一样,介入治疗也只能最大限度解决或控制现有肿瘤,无力抑制和斩断肝癌的复发和转移,患者生命长度虽然大幅提升,但距离真正‘治愈’肝癌还有非常遥远的距离。”由于严重威胁肝癌患者生命的主要因素还是肿瘤的复发和转移,因此,“根治”或至少大幅提升肝癌患者生存期的希望仍然寄托于全身药物的开发上。令人遗憾的是,肝癌的主要突变(如TP53、CTNNB1 和 TERT启动子等)缺乏成药性,无法作为有效的药物治疗靶点。直到2008年,索拉非尼的问世一举结束了肝细胞癌缺乏有效药物治疗的惨痛历史。然而,索拉非尼低下的ORR以及较重的药物不良反应一直难以获得医患双方的高度认可。2017年,瑞戈非尼作为肝癌二线药物获批,但对患者的生存预后依然改善有限。2018年,仑伐替尼终于成为第二个肝细胞癌一线治疗药物。全球多中心III期REFLECT研究证实,仑伐替尼的总体缓解率(ORR:24%)明显高于索拉非尼(ORR:7%),总生存期(OS)主要终点也非劣效于索拉非尼[2]。然而,由于肝癌的高度异质性以及仑伐替尼、瑞戈非尼等多激酶靶点药物的易耐药性,因此其单药治疗效果依然难以令人信服。“因此,寻找分子标志物、探索仑伐替尼耐药或无效机制以及潜在的联合治疗靶点,以最大限度发挥其临床治疗效果成为中晚期肝癌研究的当务之急。”翟博教授谈到。仑伐替尼耐药“元凶”——EGFR及其下游通路激活
“功夫不负有心人。”仁济医院上海市肿瘤研究所的金浩杰副研究员在René Bernards教授和覃文新教授指导下,通过CRISPR-Cas9高通量功能基因筛选技术,发现敲除表皮生长因子受体(EGFR)可提高肝癌细胞对仑伐替尼的药物敏感性。进一步的分子机制研究显示,仑伐替尼抑制肝癌细胞中成纤维细胞生长因子受体(FGFR)等关键酪氨酸激酶受体(RTKs)后,EGFR可反馈激活其下游PAK2-ERK5信号通路及其与FGFR的共同下游MEK1/2-ERK1/2信号通路。即使在持续给药条件下,肝癌细胞依然具备较强的存活及增殖能力。加入EGFR抑制剂(如吉非替尼和厄洛替尼)后,肝癌细胞增殖受到显著抑制、凋亡则明显增强,推测可能是仑伐替尼和吉非替尼同时阻断了FGFR和EGFR及其介导的下游ERK/MAPK信号通路所致。
图2 CRISPR-Cas9高通量筛选技术证实肝癌中EGFR是仑伐替尼协同致死靶点
受此鼓舞,金浩杰等构建了小鼠肝癌移植瘤模型和基因工程小鼠原位肝癌模型,进一步证实EGFR抑制剂和仑伐替尼的联合应用对于高表达EGFR的肝癌模型确实具有显著的杀伤效应,肿瘤体积明显缩小、活性减低[3]。
图3 仑伐替尼和EGFR抑制剂对高表达EGFR肝癌细胞的体内外协同致死效应
仑伐替尼+EGFR抑制剂,中晚期肝癌新靶向方案呼之欲出!
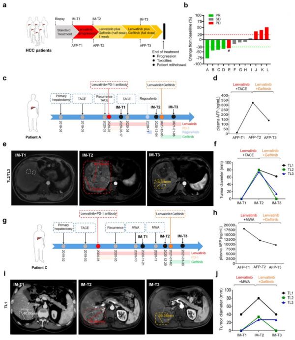
基于体内外试验结果的提示,翟博教授团队开展了一项临床试验,纳入了首批12例既往接受过仑伐替尼治疗的耐药肿瘤重新进展或初始治疗即无显著疗效的肝细胞癌患者。所有患者的手术标本或穿刺活检标本免疫组化均显示EGFR阳性表达(H≥ 200)。吉非替尼最初给予剂量为常规临床剂量的1/2(125mg/天),如果患者药物耐受良好则1周后调整为每天250mg;仑伐替尼按常规临床剂量给药(体重≤60kg,每天8mg;>60kg,每天12mg),无法耐受者剂量适当降低。试验结果显示,接受4-8周组合治疗后,12例患者中的4例获得部分缓解(PR),4例疾病稳定(SD),ORR达到33.3%(图4b)。其中一例患者接受联合治疗4周后,肿瘤负荷降低了76.5%。从药物副反应来看,结果也出乎试验前所料,联合用药后只有2例自感副反应有所加重但均可耐受;其余患者反应良好,未发生明显的叠加副反应。
图4 肝细胞癌患者对仑伐替尼联合吉非替尼的治疗反应
众所周知,作为第一代EGFR抑制剂,吉非替尼主要用于治疗EGFR突变的非小细胞肺癌(NSCLC),将之引领到肝细胞癌治疗领域实属充满想象却又具备缜密推理的神来之笔。“从我们首批12例患者的治疗数据看,仑伐替尼联合EGFR抑制剂已经展现出良好的治疗前景,未来完全有潜力成为EGFR阳性表达的中晚期肝癌患者(52%)一线药物方案之一。”翟博教授谈到。肝癌长生存之路漫漫,局部联合药物或成破局之“钥”
除外靶向药物之间的联合,肿瘤领域学者开始探索小分子靶向药物与免疫检查点抑制剂的联合应用。截至目前,多项研究数据已出,ORR几乎出现了翻倍,甚至更高,为肝癌患者带来了新的希望。翟博教授谈到:“在我们发表的研究中,与仑伐替尼单药治疗相比,联合吉非替尼后终点肿瘤中发生NK细胞和CD8+T细胞浸润明显增强而肿瘤相关巨噬细胞(TAM)比例显著降低的有趣现象,提示二者联合可能具有重塑肝癌免疫微环境的潜力,这为今后进一步探索仑伐替尼+EGFR抑制剂+免疫检查点抑制剂、CAR-T细胞等免疫治疗提供了理论依据和无限遐思。”肝癌进入中晚期,外科“利刃”逐渐淡出,以局部消融、粒子植入以及肝动脉栓塞化疗(TACE)或肝动脉持续灌注化疗(HAIC)为代表的介入治疗逐渐成为主流的局部治疗手段。药物联合TACE、HAIC、消融等介入性治疗技术后,肝癌的ORR再攀新高。2021年美国临床肿瘤学会(ASCO)会议上,中国学者发表了HAIC联合仑伐替尼以及特瑞普利单抗的亮眼ORR已经说明了一切,尽管太小的样本量还无法真正颠覆现有的治疗模式。“因此,重视局部治疗与全身药物治疗的分工与协作,对于肿瘤工作者来讲至关重要。”翟博教授表示,“未来,我们团队将紧紧围绕仑伐替尼+EGFR抑制剂的基础方案,大力开展二者联合免疫检查点抑制剂等药物治疗的相关研究,同时进一步探讨药物方案与外科、介入等各种局部治疗技术间的有机联合,力求最终建立一套切实可行的中晚期肝癌综合治疗策略和模式,给更多肝癌患者带来福音。”参考文献: [1]Sung H, Ferlay J, Siegel RL, Laversanne M, Soerjomataram I, Jemal A, Bray F. Global Cancer Statistics 2020: GLOBOCAN Estimates of Incidence and Mortality Worldwide for 36 Cancers in 185 Countries. CA Cancer J Clin. 2021 May;71(3):209-249. [2]Kudo M, Finn RS, Qin S, Han KH, Ikeda K, Piscaglia F, Baron A, Park JW, Han G, Jassem J, Blanc JF, Vogel A, Komov D, Evans TRJ, Lopez C, Dutcus C, Guo M, Saito K, Kraljevic S, Tamai T, Ren M, Cheng AL. Lenvatinib versus sorafenib in first-line treatment of patients with unresectable hepatocellular carcinoma: a randomised phase 3 non-inferiority trial. Lancet. 2018 Mar 24;391(10126):1163-1173 [3]Jin, H., Shi, Y., Lv, Y. et al. EGFR activation limits the response of liver cancer to lenvatinib. Nature 595, 730–734 (2021). https://doi.org/10.1038/s41586-021-03741-7本文首发:医学界肿瘤频道
本文作者:翟博、uu
责任编辑:Sweet
本文由“健康号”用户上传、授权发布,以上内容(含文字、图片、视频)不代表健康界立场。“健康号”系信息发布平台,仅提供信息存储服务,如有转载、侵权等任何问题,请联系健康界(jkh@hmkx.cn)处理。
相关知识
肝癌=死刑?早期肝癌可以治愈,晚期肝癌有了多方法治疗
EGFR 突变晚期 NSCLC 治疗新进展|ASCO 2024
舒沃替尼治疗 EGFR exon20ins NSCLC 患者的疗效与生物标志物研究结果|ASCO 2024
怎么排除是不是直肠癌?直肠癌化疗该如何用药
恒瑞医药首个全球临床三期成功 卡瑞利珠单抗对肝细胞癌治疗有何意义
肝癌患者饮食禁忌有哪些?一文理清,快收藏!
肺鳞癌治疗新药或将问世,斯鲁利单抗注射液获批使用
肺癌常用靶向药的主要副作用都有哪些?这篇说全了~
63%患者5年疾病未进展!一线肺癌治疗亚洲研究结果公布
药效失灵?耐药?某些食物+药=缩短生存期!
网址: Nature:超50%晚期肝癌患者将获益!EGFR抑制剂+仑伐替尼扭转肝癌耐药 https://m.trfsz.com/newsview625859.html