神经调节是神经的电调节,目前通过使用四极齿导线进行治疗难治性膀胱过度活动症、大便失禁和尿潴留,并扩大用于神经源性膀胱和骨盆疼痛。在本章中,我们将研究骶骨和阴部神经调节的作用机制、手术技术、结果以及与该疗法相关的不良事件。我们还将讨论该领域的新进展,特别是 MRI 兼容性和可充电电池。
介绍
神经调节是神经的电或化学调节,用于影响受该神经支配的终末器官的生理行为 [ 1 ]。在排尿功能障碍领域,神经调节是一种微创的三线疗法,可用于治疗难治性膀胱过度活动症 (OAB) 症状、大便失禁和非阻塞性尿潴留。出于本章的目的,我们将重点关注难治性 OAB 症状。
骶骨和阴部神经调节的作用机制
Tanagho 和 Schmidt 在 1970 年代率先开展了针对膀胱功能障碍的电刺激研究 [ 2 ]。在他们从 1988 年开始被广泛引用的研究中,他们在犬类模型中进行了背神经根切断术和选择性腹侧神经切断术。然后他们进行了骶神经刺激,从而恢复了正常的膀胱排空 [ 3]. 他们的研究最终促成了用于治疗急迫性尿失禁的植入式神经假体的开发。第一个装置是 Pisces Quad foramen 电极,它通过棘旁切口放置到 S3 孔中,劈开腰背筋膜和棘旁肌肉组织。电极必须缝合到骶骨后骨膜,并通过隧道连接到植入腹壁的发生器。这最终导致 FDA 于 1997 年批准该设备用于治疗急迫性尿失禁 [ 4 ]。手术技术和设备随后进行了修改,以允许采用更多微创放置技术和电池寿命更长的新型发电机。
神经调节的作用机制尚不完全清楚。有多种神经通路影响膀胱、胃肠道和骨盆底的反应。腰、骨盆和阴部神经由传入和传出轴突组成。在储存阶段,交感神经系统活跃,允许膀胱松弛储存和收缩尿道括约肌以防止失禁。在正常排尿中,膀胱充盈感通过传入轴突传送到骶脊髓,到达脑桥排尿中枢。然后传出信号通过副交感神经系统通过 S2-S4 神经根发送,导致膀胱收缩和尿道松弛以允许排尿发生。在排尿阶段,5 ]。
骶神经调节 (SNM) 被认为与抑制膀胱反射通路的神经元间传递有关。两种广泛提出的 SNM 作用机制是 (1) 选择性激活传入纤维,导致抑制脊柱内和脊髓上排尿信号,以及 (2) 直接激活传出纤维到尿道横纹括约肌,从而抑制逼尿肌收缩[ 5 , 6 ]。
阴部神经调节 (PNM) 已被研究并用作通过周围神经刺激解决排尿功能障碍的另一种方法。阴部神经由 S1 至 S3 的纤维组成,在膀胱储存和排空、排便功能和盆腔感觉中不可或缺,因为它为外尿道括约肌、肛门括约肌和盆底肌肉提供神经支配 [ 7 ]。同样,阴部神经模拟被认为会影响脊髓和皮质的存储和控制中心。具体而言,在动物研究中,已发现 PNM 抑制伤害性和非伤害性膀胱信号[ 8、9]. 由于阴部神经的组成,它被认为具有更广泛的骶神经根刺激,并已被研究作为 SNM 治疗失败患者的潜在靶点。
骶骨和阴部神经调节的手术技术
骶神经调节
该过程分两个阶段进行。第一阶段可以是称为经皮神经评估 (PNE) 的基于办公室的程序,也可以是在手术室中作为第一阶段导线放置 (FSLP)。这两种方法都允许患者有一段试用期,以在继续植入整个设备和电池之前测试治疗的临床有效性。PNE 和 FSLP 的操作步骤详述如下。
经皮神经评估 (PNE) [ 10 ]
1.使患者俯卧。
2.如果无法通过沿脊柱中线从尾骨测量 10 厘米,然后在该点上方测量 2 厘米和 3 厘米,则使用解剖地标识别 S3 孔。脚注1个
3.在针头插入点注射局部麻醉剂。
4.以 30–60° 角插入针头。
5.通过要求患者报告刺激感觉的位置来确认引线放置。应该在阴道、阴囊或直肠区域感觉到刺激。他们可能会表现出大脚趾弯曲。
6.一个临时电极穿过针头并贴在皮肤上。
7.将导线连接到外部临时脉冲发生器 3-7 天,同时完成排尿日记和症状评分。
第一阶段铅安置 (FSLP) [ 10 ]
1.使患者俯卧。
2.给予静脉镇静。
3.在透视的帮助下,使用定向导丝定位标有垂直线的中线。然后识别骶髂关节和棘突的交叉点并用横线标记。这定义了 S3 孔的区域(图10.1)。
4.如果 S3 孔在透视前/后视图中清晰可见,则标记孔的上部内侧(图10.2)。
5.如果由于覆盖肠内容物而无法识别 S3 孔,则从两条线交叉点上方约 2 厘米和 3 厘米(取决于体型)开始(参见步骤 #3)。将其标记在右侧和左侧(图10.2)。
6.将针头以 60° 角穿入入口点以进入孔并将其推进到下骶骨板的边缘(图10.3)。
7.进行电刺激。理想的反应是在低于 2 伏特的刺激下发生骨盆底的波纹管收缩,然后是大脚趾的弯曲。整个脚的跖屈和脚后跟旋转会建议 S2 刺激,而 S4 刺激会导致单独的风箱收缩。
8.具有运动反应的透视可以帮助确认合适的孔。在图10.4中,成像首先显示皮肤位置太高,然后太低,然后刚好。在侧视图中,目标区域应在 S3 小丘上方约 1 厘米处。小丘是在 S3 水平从骶骨前表面突出的骨骼,如在横向 X 射线上所见(图10.4)。
9.然后将定向导丝穿过插管,并使用导引鞘扩张管道。导引器不应超过下骨板。
10.然后在荧光镜引导下部署带弯曲管心针的带齿导线,定位在下方和侧面。它有四个编号为 0-3 的圆柱形电极。导联 2 和导联 3 应跨在骨骼边缘。然后单独刺激每个电极。评估电机响应的目标是在低电压(理想情况下小于 2 伏)下实现对所有四个电极的响应。
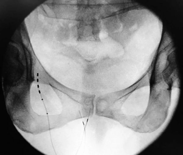
11.导线位置通过透视在侧向和前后位置确认(图10.5和10.6)。
12.在同侧臀部确定 IPG 的潜在位置,并制作一个 2 厘米的切口并创建一个皮下袋。如果测试阶段成功,IPG 将放置在这里。
13.经皮延长导线连接到带齿导线,从对侧臀部挖出并连接到外部神经调节系统 (ENS) 并设置编程参数。
14.关闭切口,导线的外部用无菌 4 × 4 敷料和绷带固定。
15.使用 ENS,患者在 14 天的测试期间试验各种刺激参数,并保持排尿日记和症状评分以评估改善情况。
图 10.1

FSLP 穿刺点的识别。
图 10.2

识别 S3 孔的内侧。
图 10.3

针的放置。
图 10.4

理想的横向放置。
图 10.5

理想的横向 X 射线。
图 10.6

理想的前后位 X 射线。
二期植入永久植入式脉冲发生器 (IPG) [ 10 ]
1.症状改善超过 50% 且对反应满意的患者被视为反应者,应接受 II 期植入。
2.重新打开之前的口袋部位,并扩大切口。然后将导线连接到永久 IPG。这可以是不可充电或可充电 IPG。
3.设备连接在手术室进行测试和确认。口袋切口用可吸收缝合线闭合。
4.特定的刺激程序经过测试,然后在术后编入设备,以实现最佳设备设置。
阴部神经调节
阴部神经调节也分两个阶段进行。由于放置技术和所需引线的长度,这必须使用 FSLP 来完成。该技术需要增加肌电图监测,如下所述,阴部神经的最佳刺激点在坐骨棘水平。II 期放置与 SNM 类似,但导线必须从下臀部的切口部位到下背部通过隧道连接到 IPG 部位。
第一阶段铅放置 [ 10 ]
1.将患者置于俯卧位,确保适当地垫住所有压力点。
2.使用无菌技术对患者进行静脉镇静、准备和覆盖,并在建议的穿刺部位注射局部麻醉剂。
3.将针电极放入肛门括约肌的 3 点钟和 9 点钟位置。这些将用于术中肌电图 (EMG) 监测。
4.通过坐骨直肠间隙经皮进入阴部神经,将孔针从内侧到外侧方向穿过坐骨结节,朝向坐骨棘(图10.7)。当针头通过时,以 5 Hz 和 5 伏进行刺激以识别神经。神经可以通过在 EMG 上看到复合肌肉动作电位 (CMAP) 和检查时的肛门眨眼来识别。
5.沿着神经推进针头,同时刺激以确认它与神经平行而不是垂直。这将允许永久导线上的多个电极刺激神经。
6.在透视下验证针的位置(图10.8)。然后以类似于骶神经调节程序的方式放置定向导丝和引导引入器。
7.在透视下将带齿导线推进到位。由于从导线到神经刺激器部位的轨迹较长,因此使用了较长的 41 厘米导线。刺激每个电极并记录获得电机和 EMG 响应所需的电压;理想情况下,在 CMAP 和肛门眨眼应该在所有四个电极上看到小于 2 伏的刺激。当每个电极都获得令人满意的响应时,展开尖齿。
8.导线位置应通过荧光检查在前后(图10.9)和侧向(图10.10)位置进行确认。
9.在同侧臀部确定神经刺激器的潜在位置,并制作一个 1 厘米的切口并创建一个皮下袋。如果测试阶段成功,神经刺激器将放置在这里。
10.导线被隧道连接到神经刺激器部位,经皮延长导线连接并从对侧臀部穿出,用于临时外部刺激。
11.关闭切口,用敷料和绷带固定外绳。
图 10.7

阴部针插入。
图 10.8

透视上的针位置。
图 10.9

前后引导位置。
图 10.10

横向引导位置。
最近的技术进步
目前有两种 SNM 设备已获得 FDA 批准并可在美国和欧洲使用:Interstim ® Medtronic 设备和 Axonics ®骶神经调节系统。两种系统都使用经皮四极带齿导线。他们带来了最新的技术升级,因为两者都兼容 MRI 并提供可充电电池选项。不可充电的植入式脉冲发生器 (IPG) 通常具有 3-5 年的使用寿命,而新型可充电 IPG 的使用寿命为 10-15 年,需要定期充电。
MRI 兼容性将扩大该设备用于可能需要 MRI 治疗其他病症的患者的能力。据估计,至少有一半有神经刺激器或起搏器装置的患者可能需要在其一生中进行 MRI 检查 [ 11 ]。此外,大约 23% 的 SNM 解释是由于需要进行 MRI 检查 [ 12 ]。使用 SNM 作为神经系统疾病患者(例如多发性硬化症和不完全性脊髓损伤)以及腰痛患者的治疗选择以前受到限制,因为他们需要定期进行 MRI 检查 [ 12 ]]. 这项技术进步将使这些患者能够针对其泌尿系统症状试用该疗法。未来的研究将需要评估这些特殊人群的疗效和效用。
SNM 的第二个进步是可充电 IPG。可充电电池的优点是它允许使用体积更小的 IPG,这样更舒适,电池寿命更长,可以减少再次手术的需要。目前可用的系统是免充电 Interstim II 系统(12.5 cm 3体积)、可充电 Interstim Micro 系统(2.8 cm 3体积)和可充电 Axonics 系统(5.5 cm 3体积)。对于 BMI 较低且更在意设备外观和舒适度的患者,可能需要体积较小的 IPG。然而,对于大多数具有平均或高于平均 BMI 的患者来说,一旦植入皮下,尺寸差异就不太可能明显了。此外,为了给设备充电,腰带和充电器必须靠近 IPG,这对于肥胖患者来说可能更难可靠地做到这一点。在老年患者中,这也可能是一个问题,因为灵活性和记忆力问题可能会抑制患者可靠地为设备充电的能力。最后,对技术的信心可能是一个需要考虑的重要因素,因为一些患者可能不习惯执行充电过程。
IPG 的寿命是另一个考虑因素,因为理论上的优势可能会减少更换电池所需的操作次数。但是,这可能并不适用于所有情况。在一项对 325 名 SNM 大便失禁患者进行的纵向研究中,平均随访时间为 7.1 年,其中 21.7% 的患者由于缺乏疗效、设备问题或感染而移除了设备 [ 13 ]。因此,再手术率可能受与设备功能相关的其他因素驱动,而不仅仅是电池寿命。目前还不知道电池是否会随着时间的推移而褪色。众所周知,某些设备会经历电池衰减,使用寿命可能短于 10-15 年。
为了在免充电或可充电 IPG 之间做出决定,临床医生必须与患者共同做出决策,以确保考虑这些因素并帮助选择能够为患者带来最佳结果的疗法。在对 352 名使用脊髓刺激器的患者进行的多中心研究中,他们发现使用可充电设备的患者比使用无充电设备的患者更早结束治疗 [ 14 ]。对脊髓刺激器和深部脑刺激器空间的研究表明,可充电系统会带来更高的治疗管理负担,这可能会导致患者提前停药 [ 12 ]。这在未来几年仍有待在 SNM 领域进行研究。
SNM 的结果
已经发表了几项研究,确定了 SNM 对难治性 OAB 湿性和 OAB 干性患者的疗效。InSite 试验是一项前瞻性多中心试验,在 6 个月时将 SNM 与标准药物治疗进行比较。然后对患者进行随访以评估 5 年时 SNM 的结果。有340名患者接受了测试刺激,272名患者被植入。在 OAB 湿患者中,他们的基线为 3.1 ± 2.7 漏/天。使用 SNM,他们平均每天减少 2.2 ± 2.7 次泄漏。在 OAB 干患者中,他们的基线为 12.6 ± 4.5 排尿/天,而 SNM 平均减少 5.1 ± 4.1 排尿/天,具有统计学意义。百分之八十的受试者报告说他们的泌尿系统症状在 12 个月时有所改善 [ 15]. 在同一组患者的 5 年随访中,使用改良完成者分析的治疗成功率为 67%,使用完成者分析的治疗成功率为 82%。患者的所有生活质量指标均有所改善 [ 16 ]。在 SNM 的全球多中心试验中,刺激组中的 OAB 干患者的排尿次数从基线时的 16.9 ± 9.7 显着改善至刺激后 6 个月时的 9.3 ± 5.1 ( p < 0.0001)。在这项研究中,88% 的刺激组的尿急程度有所改善。有趣的是,在这项研究中,患者在治疗 6 个月后也关闭了该设备,并且他们的症状恶化回到基线。该组中的所有患者在测试结束时都重新激活了治疗 [ 17]. 因此,来自 SNM 的主动刺激可以治疗改善难治性 OAB 症状,但不能永久治愈它们。
文献还强烈支持 SNM 在改善 OAB 尿失禁患者尿失禁和垫使用方面的功效。在 Schmidt 等人的一项随机试验中,75% 的患者在临床上是成功的,其中 34 名患者中,16 名 (47%) 完全干燥,10 名 (29%) 的失禁发作减少了 50% 以上。57% 的患者不再需要尿布或护垫 [ 18 ]。在 Sutherland 等人的回顾性研究中,他们观察到平均每日尿失禁次数从 5.0 次减少到 1.0 次,平均每日护垫使用次数从 2.3 次减少到 0.3 次 ( p < 0.05) [ 19 ]。在 Weil 等人的一项随机试验中,注意到主要渗漏事件每天减少 3.8 次 ( p = 0.0039),每天护垫使用平均减少 4.4 次 (p = 0.0011) 每天 [ 20 ]。
虽然它目前不是 FDA 批准的治疗适应症,但 SNM 也被证明对间质性膀胱炎和盆腔疼痛患者有效。在 2020 年针对盆腔疼痛综合征的 SNM 荟萃分析中,检查了六项前瞻性队列研究和四项回顾性病例系列。他们发现平均有 69% 的患者进行了植入(范围 52-91%)。所有纳入的研究都报告了 SNM 的疼痛评分降低 [ 21 ]。在 Peters 对 26 名难治性 IC 患者的研究中,71% 的盆腔疼痛、68% 的尿急症状和 72% 的频率症状得到改善。96% 的患者表示他们会再次接受种植体并会向朋友推荐该疗法 [ 22]. 在 Marinkovic 的一项回顾性研究中,他们注意到 SNM 在治疗 IC 方面取得了类似的成功,根据 VAS 量表测量,评分从 6.5 提高到 2.4 ( p < 0.01),平均随访时间为 89 个月 [ 23 ]。
PNM 的成果
阴部神经调节目前尚未获得 FDA 批准用于治疗排尿障碍,因此是治疗 OAB、尿潴留和盆腔疼痛的超适应症疗法。在 2005 年一项比较 SNM 与 PNM 的前瞻性随机对照试验中,更多的患者选择了 PNM。在试验阶段,骶骨和阴部导线均被植入。每根导线都试验了 7 天,并且患者对刺激的导线不知情。为每个导联收集有关症状改善的数据。然后,患者可以选择将 IPG 连接到哪个导联。在 24 名患者中,19 名选择了 PNM,5 名选择了 SNM。PNM 在整体症状改善 ( p = 0.02)、尿急 ( p = 0.005)、频率 ( p = 0.007) 和肠功能 (p = 0.049) [ 24 ]。在另一项针对难治性间质性膀胱炎患者的 SNM 与 PNM 试验中,对骶骨和阴部导线放置进行了与上述类似的设计。在这项对 22 名患者的研究中,77% 接受了永久性导线植入,59% 选择了阴部导线,18% 选择了骶骨导线。PNM 和 SNM 的症状总体减少分别为 59% 和 44% [ 25 ]。在另一项针对 19 名接受 PNM 的阴部神经痛患者的研究中,36% 的患者完全或几乎完全缓解,52% 的患者疼痛明显缓解,15% 的患者疼痛轻微缓解。所有患者都接受了 IPG 放置 [ 26 ]。在这些 PNM 的小型研究中,它似乎对治疗排尿功能障碍和盆腔疼痛有效。
SNM 失败
一些研究估计 10% 到 25% 的患者未能通过 SNM [ 15、27 ]。PNM 对 SNM 失败的患者特别有效,因为对于这个具有挑战性的人群,几乎没有治疗选择。在一项针对 OAB 和 IC/PBS 的 SNM 治疗难治性患者的研究中,93%(44 名中的 41 名)对 PNM 有反应。在 1 年的随访中,83% 的患者仍在使用他们的设备,74% 的患者表示他们会再次进行手术 [ 28 ]。Carmel 报告了三名因慢性盆腔会阴疼痛而在 SNM 失败后接受 PNM 的患者,他们报告在 2 年的随访后症状显着改善 [ 29]. PNM 是对 SNM 难以治愈的患者的有效疗法,应考虑用于治疗排尿功能障碍和盆腔疼痛。
不良事件/并发症
SNM 和 PNM 可能与设备相关的不良事件 (AE) 相关。我们将重点关注与现代设备相关的事件,该设备是一种带有弯曲探针的经皮四极带齿导线。然而,一些早期的研究可能会讨论其他植入技术。InSite 试验报告的不良事件发生率为 30.5% [ 30 ]。最常见的不良事件是疼痛,无论是来自设备的刺激,还是来自与 IPG 或导线相关的部位。大多数不良事件通过保守治疗得以解决。13% 需要手术干预;这包括手术部位疼痛 (4%)、疗效缺乏/丧失 (4%) 和感染 (3%) [ 31]. 在法国的一项多中心研究中,他们还注意到 33% 的不良事件发生率,其中大部分事件通过重新编程得到解决。最常见的 AE 包括植入部位疼痛 (5%;16/301) 和植入部位感染 (4%;13/301) [ 32 ]。
IPG 部位并发症往往是最常见的,并且可能由于 IPG 部位的创伤或手术过程中放置不当而发生。重要的是要考虑患者因素,包括体型、骨骼标志的位置和患者裤子的典型位置。如果放置在骨性标志上方或太浅,可能会引起疼痛。此外,如果患者的体重发生变化,这也会影响 IPG 的位置,从而可能导致需要进行修正。
铅迁移是另一个潜在的并发症。自从引入镀锡铅以来,这种情况的发生率大大降低了。在 Peters 等人的一项研究中,他们注意到使用开放式放置技术的导线迁移率从 42% 降低到采用经皮尖头导线放置的 15%,这具有统计学意义 [ 33 ]。更常见的情况是,如果患者跌倒或受伤部位可能会破坏导线,则往往会发生这种情况。使用带齿铅的手术技术的改进大大减少了这种事件的发生。
考虑到通常在设备植入时进行的抗生素预防,设备感染不太常见。在文献中,感染率估计低于 10% [ 33、34 ]。大多数感染在植入后早期出现。在 InSite 试验中,5/10 的感染出现在植入后的前 3 个月 [ 34 ]。对于任何设备感染,建议移除植入的设备。在充分治疗和解决感染后,可以考虑更换。
PNM 具有类似的设备相关并发症,包括导线或 IPG 部位的疼痛和感染风险。PNM 更容易发生导线迁移,因为导线是通过软组织放置的,而不是通过骨孔固定的。这使得铅更容易因跌倒或臀部区域受伤而移位。彼得斯等人。报道了 84 名患者中有 3 名发生铅迁移,84 名患者中有 1 名发生感染 [ 28 ]。
结论
骶骨和阴部神经调节是治疗难治性膀胱过度活动症的有效疗法。随着 MRI 兼容性和可充电设备的推出,这种疗法的应用将在未来几年得到扩展,并且可能会改善其他疾病的治疗,包括神经源性膀胱和骨盆疼痛。这种疗法与不良事件的低风险相关,并能持续改善症状。
如果外科医生更喜欢而不是使用透视法,则此方法可用于下面的 FSLP,并且测量值增加 3 cm 高度依赖于体型,较厚的组织需要更远的距离。
Cite this chapter
Gupta, P. (2022). Sacral and Pudendal Neuromodulation (SNM). In: Cameron, A.P. (eds) Female Urinary Incontinence. Springer, Cham. https://doi.org/10.1007/978-3-030-84352-6_10
本文由“健康号”用户上传、授权发布,以上内容(含文字、图片、视频)不代表健康界立场。“健康号”系信息发布平台,仅提供信息存储服务,如有转载、侵权等任何问题,请联系健康界(jkh@hmkx.cn)处理。
相关知识
膀胱训练的健康教育
神经源性下尿路功能障碍的物理治疗:方法和适应症
过分贪恋性生活小心得膀胱炎
根骶能量健康法的具体手法
滨医附院结直肠疝外科为一名患者成功植入永久骶神经电刺激器
10 个阴瑜伽体式,给全身经络来一次深度按摩!
孕期急性膀胱炎的症状表现
骶髂关节疼和腰疼如何区分和应对
根骶能量按摩疗法
尿失禁自我锻炼疗法—盆底肌训练和膀胱训练(二)
网址: 膀胱过度活动症:骶骨和阴部神经调节 (SNM) https://m.trfsz.com/newsview635429.html