脑卒中,一种常见但危险的神经系统疾病,是大脑供血中断或破裂所引起的。它可能导致严重的后果,包括运动障碍、言语障碍、认知功能受损以及生活质量下降。然而,脑卒中之后的康复过程是可能的,而且随着科学研究的不断进展,我们对于大脑可塑性的理解也日益深入。本文将探讨脑卒中康复的不同阶段,以及大脑可塑性如何帮助患者恢复功能。

一、脑卒中后的康复过程
1、急救和治疗阶段:
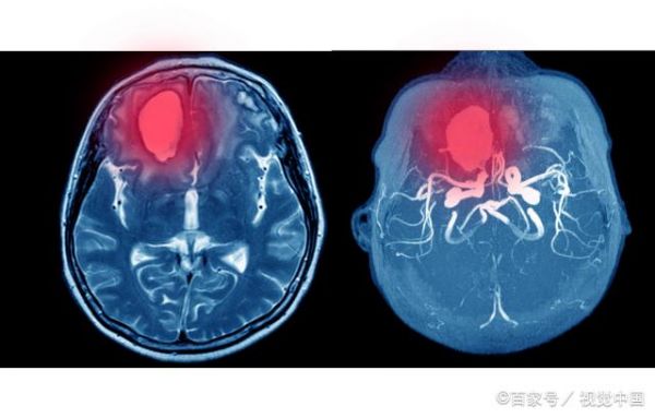
脑卒中是一种紧急情况,需要迅速而有效的医疗干预。当患者被送入急诊室时,急救医生会立即进行初步评估,包括检查症状、评估生命体征和进行神经检查。随后,医生通常会使用神经影像学技术,以确定脑卒中的类型和严重程度。这有助于医生确定是否为缺血性脑卒中(由血栓或栓子引起)或出血性脑卒中(由出血引起),因为治疗方法可能有所不同。
如果脑卒中是由血栓引起的,患者可能会接受溶栓治疗,这涉及到给予特定的药物以溶解血栓。在某些情况下,医生可能会考虑介入性手术,如血管内手术,以去除血栓或栓子。早期干预在急救和治疗阶段至关重要,因为它可以最大程度地减少脑损伤和提高康复的机会。

2、亚急性康复阶段:
脑卒中后的康复过程通常从急救和治疗阶段之后开始。患者可能会被转移到康复中心或回家接受家庭康复治疗。在这一阶段,主要目标是帮助患者重新获得一些基本生活功能,例如独立进食、洗漱、行走以及恢复语言能力。
康复团队通常由多名专业医疗人员组成,包括物理治疗师、职业治疗师、言语治疗师和康复医师。他们会根据患者的具体情况制定个性化的康复计划,以逐渐帮助患者康复到最佳状态。这个阶段也包括药物管理,以控制高血压、高血脂和其他潜在风险因素。

3、长期康复阶段:
脑卒中的康复是一个长期的过程,可能需要数月甚至数年的时间。在长期康复阶段,患者将继续进行物理治疗、言语治疗和康复训练,以改善运动、沟通和认知功能。这个过程强调逐渐恢复失去的技能和功能,以提高生活质量。
此外,患者和家庭成员可能需要接受心理支持,以应对康复过程中的挑战。这种支持可以包括心理治疗、家庭支持和康复群体。长期康复阶段的目标是帮助患者恢复尽可能多的独立性和生活质量,并最大程度地减少脑卒中后遗症对日常生活的影响。

二、大脑的可塑性
大脑可塑性的概念:
大脑可塑性指的是大脑适应和改变的能力。虽然大脑在发育早期具有最高的可塑性,但在整个生命周期中都表现出一定程度的可塑性。这意味着即使在脑卒中等脑损伤事件之后,大脑仍然具备自我修复和适应的潜力。可塑性使大脑能够通过建立新的神经连接、调整功能区域和重组神经回路来适应损伤和变化。
康复过程中的大脑可塑性:
脑卒中后的康复过程中,大脑可塑性扮演着至关重要的角色。以下是大脑可塑性在康复中的一些重要方面:
代偿性重组:
当脑卒中损害了特定的脑区域时,大脑可以通过重新连接神经元来代偿功能的丧失。这意味着即使部分脑区域受到了损伤,其他健康的脑区域可以重新配置其连接方式,以接管受损区域的功能。例如,如果运动控制区域受损,邻近的脑区域可能会承担运动功能,帮助患者重新获得运动能力。

学习和重复练习:
大脑通过学习和不断的练习来改善功能。康复治疗通常包括大量的重复练习,这有助于促进受损脑区域的重新连接和功能改善。通过反复执行特定任务,大脑可以逐渐恢复对这些任务的控制能力。这种练习不仅有助于加强神经回路,还提高了受影响区域的效能,加速康复过程。
环境刺激:
大脑对于环境刺激非常敏感。提供丰富的环境刺激可以激发大脑的可塑性,促进康复。物理治疗、言语治疗、认知训练以及各种康复活动都提供了丰富的刺激,有助于大脑适应和调整。例如,物理治疗中的平衡练习可以刺激脑部与身体的协调,言语治疗可以刺激语言和认知功能的恢复。

药物和治疗:
一些药物和治疗方法可以促进大脑的可塑性。例如,神经干细胞治疗涉及使用干细胞来修复受损的神经组织,以促进康复。这些治疗方法的目标是改善运动、感觉和认知功能,加速康复的进程。
三、脑卒中康复的关键因素
早期干预:
脑卒中发生后,尽早的医疗和康复干预可以在很大程度上减少脑损伤,并提高康复成功的机会。急救和治疗阶段被认为是最关键的时刻,因此及早寻求医疗帮助至关重要。急救措施包括确保患者的气道通畅、维持适当的血压、控制高血糖、溶解血栓等,这些步骤有助于最小化脑损伤。

持之以恒的康复训练:#警惕中风#
康复过程需要持之以恒的努力和训练,这是脑卒中康复的核心原则之一。患者和康复团队必须坚持不懈地进行康复训练,以促进大脑可塑性的充分发挥。康复训练通常包括物理治疗、言语治疗、认知康复和职业治疗,以满足患者的具体康复需求。
心理支持和家庭支持:
心理支持在康复过程中起着关键作用。脑卒中患者和家庭成员可能会面临情感和心理挑战,包括焦虑、抑郁和应对康复挑战的压力。因此,寻求心理支持,如心理治疗、心理咨询或康复心理治疗,对于应对这些情感和心理问题非常重要。此外,家庭支持也是不可或缺的,家庭成员的理解、鼓励和协助对患者的康复过程至关重要。

健康生活方式:
健康的生活方式对于脑卒中康复至关重要。均衡饮食,摄取丰富的蔬菜和水果,维持适度的锻炼,保持充足的睡眠以及戒烟都可以促进康复。这些因素不仅有助于维护全身健康,还对大脑可塑性和康复产生积极影响。例如,健康的饮食可以提供大脑所需的营养,锻炼有助于促进血液循环和神经连接,而戒烟可以减少脑卒中的再发风险。
四、康复策略和技术
物理康复:
物理治疗在脑卒中康复中扮演着至关重要的角色。物理治疗师使用一系列运动和康复技术,旨在帮助患者恢复运动功能。这包括重建受影响肢体的肌肉力量,提高平衡和协调能力,改善步态(行走模式)和运动控制。通过定制的锻炼计划,物理康复有助于恢复患者的独立性和生活质量。在物理康复中,神经肌肉刺激和高级传感器技术等创新方法也被广泛采用,以促进大脑可塑性的发挥。

言语和认知康复:
脑卒中可能会对患者的言语和认知功能造成影响,包括记忆、注意力、语言理解和沟通能力。言语治疗师和职业治疗师在这方面发挥关键作用。他们通过使用语言训练、认知康复技巧和社交沟通技能来帮助患者改善这些方面的功能。言语和认知康复有助于提高患者的生活质量,使他们更容易融入社会和独立生活。
药物治疗和介入性疗法:
一些药物和介入性疗法可以用于脑卒中康复。药物治疗通常用于控制脑卒中后的高血压、痉挛和抽搐等症状。介入性疗法,如脑血管手术或神经外科手术,可用于处理脑卒中引起的血管问题或颅内压增高等严重情况。这些治疗方法通常需要由专业医疗团队根据患者的具体情况决定。
环境适应和辅助工具:
在康复过程中,改善患者的生活环境对于康复至关重要。这可能包括对住宅进行改造,以使其更适合患者的需求,提供辅助工具,如轮椅、助行器或言语辅助设备,以帮助患者更好地独立生活。此外,提供社会支持也是必要的,家庭成员和社会支持网络可以在康复过程中起到重要作用。改善环境和提供适当的辅助工具可以降低康复过程中的挑战,提高患者的生活质量,增强他们的自信心和自立性。

脑卒中是一种严重的疾病,但脑卒中之后的康复是可能的,而且大脑终生都具有可塑性。康复过程可能是漫长和具有挑战性的,但通过坚持的努力、专业的支持和科学支持的康复策略,脑卒中患者可以实现显著的康复,提高生活质量,重新融入社会。千万不要放弃希望,因为大脑有惊人的适应和恢复能力,每个康复的一步都是向更好的生活迈出的关键一步。
相关知识
脑卒中后几天是机体恢复的黄金期
中国康复医学会 科普宣传 认识大脑,促进脑卒中康复
脑卒中的心理康复
脑卒中恢复期
脑卒中的康复治疗 健康科普
2030年将有3千万脑卒中患者 防控形势严峻
脑卒中后抑郁的心理康复 健康科普
【健康科普】脑卒中后别害怕,康复锻炼来帮忙!
脑卒中恢复期主要康复护理措施
脑卒中康复中的运动疗法
网址: 脑卒中之后的康复期有多久?大脑终生都可塑性,千万别放弃 https://m.trfsz.com/newsview1558190.html