拇指籽骨:拇指指间关节籽骨(箭)较小且略呈三角形,与拇指掌指关节籽骨(箭头)不同,勿误认为撕脱骨折。

指骨骨皮质增厚:近、中节指骨骨皮质厚而致密,骨髓腔变窄,无病理学意义。

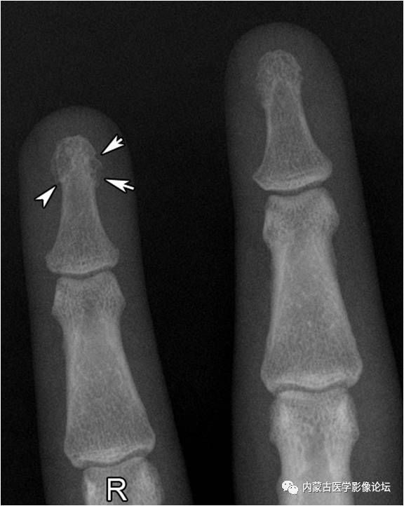
正常指骨粗隆:环指远节指骨粗隆呈不规则分叶状(白箭),部分呈透亮线改变(箭头),但边缘清晰,轮廓线连续,不应误为骨折线或病理改变。

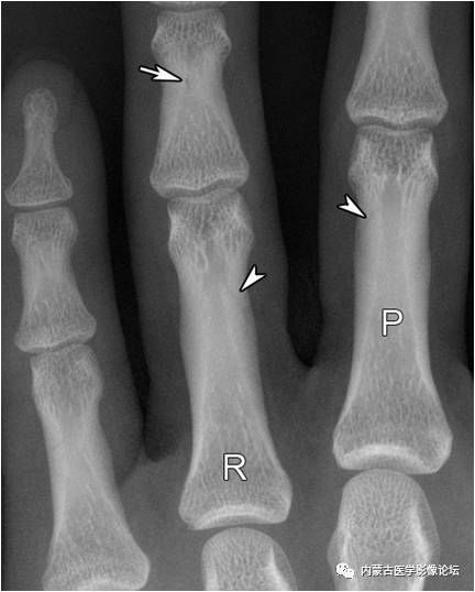
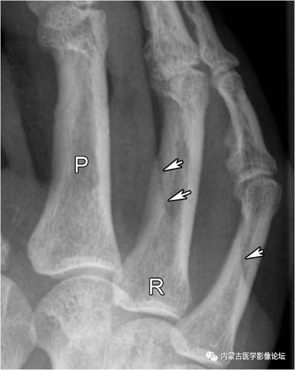
指骨滋养血管:箭头所示斜行透亮线影为近节指骨滋养血管,而白箭所示小圆形透亮区为中节指骨滋养血管轴位投照所致。注意指骨滋养血管从近端斜向远端,从骨皮质斜行走向髓腔,与掌骨相反。R:环指,P:近节指骨。


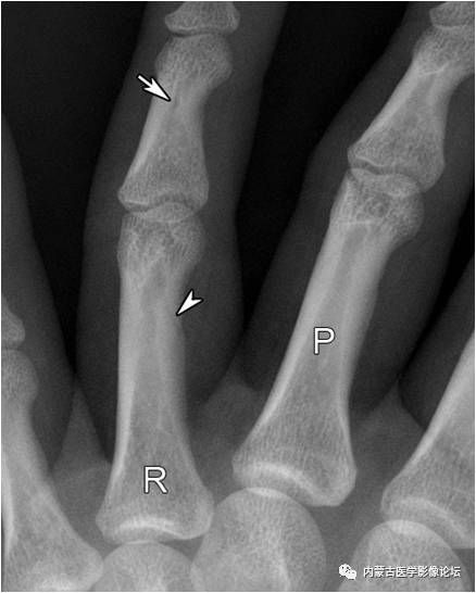
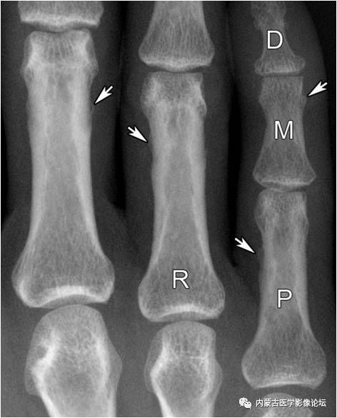
指骨Mach效应:箭头所示为环指(R)与小指骨结构内的软组织重叠影所形成的Mach效应,其走行与滋养血管影相反,也不应误为骨折线。

指骨正常骨突与骨嵴:白箭所示为肌腱附着的骨突与骨嵴,不应误为骨痂或骨膜增生。R:环指,P:近节指骨,M:中节指骨,D:远节指骨。


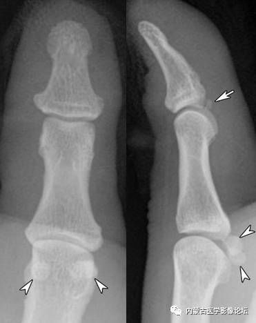
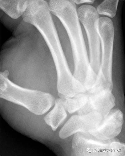
拇指掌腕关节“台阶征”:手正位片上(相当于拇指掌腕关节斜位),拇指掌腕关节的外形有一定程度的失真,关节边缘(箭)形成“台阶”样改变,与“半脱位”征象类似。手斜位片(相当于拇指掌腕关节正位)可以证实正位所见为假象。


-THE END-
来源:内蒙古医学影像论坛
版权归原作所有,转载请联系原出处
相关知识
儿童做X线应遮盖会阴部
孕期为何需避免X线检查?X线检查影响胎儿健康
怀孕期间能做X线检查吗?能!
拍摄牙科X线片=辐射危害,可信吗?
孕妇防辐射服防X线吗
脆性X综合征遗传咨询分享
5个征兆说明你正在变瘦
X射线在食品安全领域的应用
燃脂的7个征兆 燃脂是什么意思
正确的胸部按摩手法 日常保养乳房七个方法
网址: 手部7个正常X线征象 https://m.trfsz.com/newsview468534.html